You have no items in your shopping cart.
HNRNPCL1 Antibody
Description
Images & Validation
−| Tested Applications | FC, IHC-P, WB |
|---|---|
| Reactivity | Human |
| Predicted Reactivity | Rabbit |
| Application Notes |
Key Properties
−| Antibody Type | Primary Antibody |
|---|---|
| Host | Rabbit |
| Clonality | Polyclonal |
| Isotype | Rabbit Ig |
| Immunogen | This HNRNPCL1 antibody is generated from rabbits immunized with a KLH conjugated synthetic peptide between 252-281 amino acids from the C-terminal region of human HNRNPCL1. |
| Target | HNRNPCL1 |
| Molecular Weight | 32 kDa |
| Purification | This antibody is purified through a protein A column, followed by peptide affinity purification. |
| Conjugation | Unconjugated |
Storage & Handling
−| Storage | Maintain refrigerated at 2-8°C for up to 2 weeks. For long term storage store at -20°C in small aliquots to prevent freeze-thaw cycles. |
|---|---|
| Form/Appearance | Liquid |
| Buffer/Preservatives | Supplied in PBS with 0.09% (W/V) sodium azide. |
| Concentration | batch dependent |
| Disclaimer | For research use only |
Alternative Names
−Similar Products
−HNRNPCL1 Antibody (C-term) [orb1938162]
FC, IHC-P, WB
Rabbit
Human
Rabbit
Polyclonal
Unconjugated
100 μl, 50 μl

Quality Guarantee
Explore bioreagents carefree to elevate your research. All our products are rigorously tested for performance. If a product does not perform as described on its datasheet, our scientific support team will provide expert troubleshooting, a prompt replacement, or a refund. For full details, please see our Terms & Conditions and Buying Guide. Contact us at [email protected].

Western blot analysis in MDA-MB435 cell line lysates (35 ug/lane).

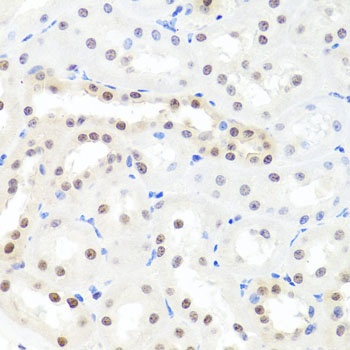
HNRNPCL1 Antibody immunohistochemistry analysis in formalin fixed and paraffin embedded human uterus tissue followed by peroxidase conjugation of the secondary antibody and DAB staining.

Flow cytometric analysis of MDA-MB435 cells (right histogram) compared to a negative control cell (left histogram). FITC-conjugated goat-anti-rabbit secondary antibodies were used for the analysis.
Documents Download
Request a Document
Protocol Information
HNRNPCL1 Antibody (orb1270141)
Participating in our Biorbyt product reviews program enables you to support fellow scientists by sharing your firsthand experience with our products.
Login to Submit a Review







