You have no items in your shopping cart.
Description
Images & Validation
−| Tested Applications | FC, ICC, IHC, IP, WB |
|---|---|
| Reactivity | Human, Mouse, Rat |
Key Properties
−| Antibody Type | Recombinant Antibody |
|---|---|
| Host | Rabbit |
| Clonality | Monoclonal |
| Conjugation | Unconjugated |
Storage & Handling
−| Storage | Maintain refrigerated at 2-8°C for up to 2 weeks. For long term storage store at -20°C in small aliquots to prevent freeze-thaw cycles. |
|---|---|
| Expiration Date | 12 months from date of receipt. |
| Disclaimer | For research use only |
Similar Products
−hNRNP C Rabbit Monoclonal Antibody [orb2988871]
WB
Human, Mouse
Rabbit
Monoclonal
Unconjugated
200 μl, 100 μl, 50 μl, 30 μl

Quality Guarantee
Explore bioreagents carefree to elevate your research. All our products are rigorously tested for performance. If a product does not perform as described on its datasheet, our scientific support team will provide expert troubleshooting, a prompt replacement, or a refund. For full details, please see our Terms & Conditions and Buying Guide. Contact us at [email protected].

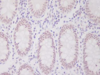
Immunohistochemical analysis of paraffin-embedded human colon, using hnRNP C1/C2 Antibody.

Western blot analysis of hnRNP C1/C2 expression in (1) HeLa cell lysate; (2) HepG2 cell lysate.
Quick Database Links
UniProt Details
−Documents Download
Request a Document
Protocol Information
hnRNP C1/C2 Rabbit mAb Antibody (orb1951551)
Participating in our Biorbyt product reviews program enables you to support fellow scientists by sharing your firsthand experience with our products.
Login to Submit a Review