You have no items in your shopping cart.
You have no items in your shopping cart.
| Catalog Number | orb1270448 |
|---|---|
| Category | Antibodies |
| Description | HEMK1 Antibody |
| Target | HEMK1 |
| Clonality | Polyclonal |
| Isotype | Rabbit Ig |
| Conjugation | Unconjugated |
| Reactivity | Human |
| Form/Appearance | Liquid |
| Concentration | batch dependent |
| Buffer/Preservatives | Supplied in PBS with 0.09% (W/V) sodium azide. |
| Purification | This antibody is purified through a protein A column, followed by peptide affinity purification. |
| Immunogen | This HEMK1 antibody is generated from rabbits immunized with a KLH conjugated synthetic peptide between 311-338 amino acids from the C-terminal region of human HEMK1. |
| UniProt ID | Q9Y5R4 |
| MW | 38 kDa |
| Tested applications | FC, IHC-P, WB |
| Application notes | For WB starting dilution is: 1:1000For IHC-P starting dilution is: 1:50~100For FACS starting dilution is: 1:10~50 |
| Antibody Type | Primary Antibody |
| Storage | Maintain refrigerated at 2-8°C for up to 2 weeks. For long term storage store at -20°C in small aliquots to prevent freeze-thaw cycles. |
| Alternative names | HemK methyltransferase family member 1, 211-, MHsa Read more... |
| Note | For research use only |
| NCBI | Q9Y5R4 |

Western blot analysis in A549 cell line lysates (35 ug/lane).

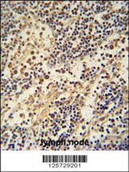
HEMK1 antibody immunohistochemistry analysis in formalin fixed and paraffin embedded human lymph node followed by peroxidase conjugation of the secondary antibody and DAB staining.

Flow cytometric analysis of A549 cells (right histogram) compared to a negative control cell (left histogram). FITC-conjugated goat-anti-rabbit secondary antibodies were used for the analysis.
FC, IHC-P, WB | |
Human, Mouse, Rat | |
Rabbit | |
Polyclonal | |
Unconjugated |
WB | |
Bovine, Canine, Equine, Gallus, Human, Rabbit, Rat | |
Mouse | |
Rabbit | |
Polyclonal | |
Unconjugated |
Participating in our Biorbyt product reviews program enables you to support fellow scientists by sharing your firsthand experience with our products.
Login to Submit a Review