You have no items in your shopping cart.
HDLBP Antibody
Description
Research Area
Images & Validation
−| Tested Applications | ELISA, IHC, WB |
|---|---|
| Dilution Range | ELISA:1:1000-1:2000, WB:1:200-1:1000, IHC-P:1:50-1:200 |
| Reactivity | Human, Mouse, Rat |
Key Properties
−| Host | Rabbit |
|---|---|
| Clonality | Polyclonal |
| Isotype | IgG |
| Immunogen | Synthetic peptide of Human HDLBP |
| Target | HDLBP |
| Purification | Antigen Affinity Purified |
| Conjugation | Unconjugated |
Storage & Handling
−| Storage | Maintain refrigerated at 2-8°C for up to 2 weeks. For long term storage store at -20°C in small aliquots to prevent freeze-thaw cycles. |
|---|---|
| Form/Appearance | Liquid |
| Buffer/Preservatives | -20°C, pH7.4 PBS, 0.05% NaN3, 40% Glycerol |
| Expiration Date | 12 months from date of receipt. |
| Disclaimer | For research use only |
Alternative Names
−Similar Products
−Mouse High Density Lipoprotein Binding Protein (HDLBP) ELISA Kit [orb782053]
Mouse
0.32-20 ng/mL
0.113 ng/mL
96 T, 48 TRat High Density Lipoprotein Binding Protein (HDLBP) ELISA Kit [orb782054]
Rat
0.32-20 ng/mL
0.134 ng/mL
96 T, 48 THuman High Density Lipoprotein Binding Protein (HDLBP) ELISA Kit [orb778802]
Human
0.32-20 ng/mL
0.134 ng/mL
96 T, 48 THDLBP Antibody [orb524260]
ELISA, IHC, WB
Human, Mouse, Rat
Rabbit
Polyclonal
Unconjugated
100 μl, 50 μl

Quality Guarantee
Explore bioreagents carefree to elevate your research. All our products are rigorously tested for performance. If a product does not perform as described on its datasheet, our scientific support team will provide expert troubleshooting, a prompt replacement, or a refund. For full details, please see our Terms & Conditions and Buying Guide. Contact us at [email protected].

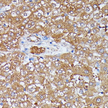
Immunohistochemistry of paraffin-embedded Human brain tissue using HDLBP antibody

Western blot aanalysis of Lane 1-2: Raji cells, NIH/3T3 cellsusing HDLBP antibody

Immunohistochemistry of paraffin-embedded Human thyroid cancer tissue using HDLBP antibody
Quick Database Links
UniProt Details
−Documents Download
Request a Document
Protocol Information
HDLBP Antibody (orb524259)
Participating in our Biorbyt product reviews program enables you to support fellow scientists by sharing your firsthand experience with our products.
Login to Submit a Review








