You have no items in your shopping cart.
GRIN3B Antibody
Description
Images & Validation
−| Tested Applications | IHC-P, WB |
|---|---|
| Reactivity | Human |
| Application Notes |
Key Properties
−| Antibody Type | Primary Antibody |
|---|---|
| Clonality | Polyclonal |
| Isotype | Rabbit Ig |
| Immunogen | This GRIN3B antibody is generated from rabbits immunized with a KLH conjugated synthetic peptide between 904-933 amino acids from the C-terminal region of human GRIN3B. |
| Target | GRIN3B |
| Molecular Weight | 113 kDa |
| Purification | This antibody is purified through a protein A column, followed by peptide affinity purification. |
Storage & Handling
−| Storage | Maintain refrigerated at 2-8°C for up to 2 weeks. For long term storage store at -20°C in small aliquots to prevent freeze-thaw cycles. |
|---|---|
| Form/Appearance | Liquid |
| Buffer/Preservatives | Supplied in PBS with 0.09% (W/V) sodium azide. |
| Concentration | batch dependent |
| Disclaimer | For research use only |
Alternative Names
−Similar Products
−NR3B Rabbit Polyclonal Antibody [orb158000]
IF, IHC-Fr, IHC-P
Human, Mouse
Rat
Rabbit
Polyclonal
Unconjugated
50 μl, 100 μl, 200 μl

Quality Guarantee
Explore bioreagents carefree to elevate your research. All our products are rigorously tested for performance. If a product does not perform as described on its datasheet, our scientific support team will provide expert troubleshooting, a prompt replacement, or a refund. For full details, please see our Terms & Conditions and Buying Guide. Contact us at [email protected].

Western blot analysis in A549 cell line lysates (35 ug/lane).

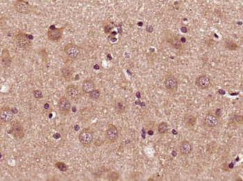
GRIN3B Antibody immunohistochemistry analysis in formalin fixed and paraffin embedded human brain tissue followed by peroxidase conjugation of the secondary antibody and DAB staining.
Documents Download
Request a Document
Protocol Information
GRIN3B Antibody (orb1269697)
Participating in our Biorbyt product reviews program enables you to support fellow scientists by sharing your firsthand experience with our products.
Login to Submit a Review





