You have no items in your shopping cart.
GPX2 Antibody
Description
Research Area
Images & Validation
−| Tested Applications | IHC, WB |
|---|---|
| Reactivity | Human, Mouse, Rat |
| Application Notes |
Key Properties
−| Antibody Type | Primary Antibody |
|---|---|
| Host | Rabbit |
| Clonality | Polyclonal |
| Isotype | IgG |
| Immunogen | Recombinant fusion protein containing a sequence corresponding to amino acids 100-180 of human GPX2 (NP_002074.2). |
| Target | GPX2 |
| Molecular Weight | Observed: 21kDa |
| Purification | Affinity purification |
| Conjugation | Unconjugated |
Storage & Handling
−| Storage | Maintain refrigerated at 2-8°C for up to 2 weeks. For long term storage store at -20°C in small aliquots to prevent freeze-thaw cycles. |
|---|---|
| Form/Appearance | Liquid |
| Buffer/Preservatives | PBS with 0.02% sodium azide, 50% glycerol, pH 7.3. |
| Concentration | batch dependent |
| Expiration Date | 12 months from date of receipt. |
| Disclaimer | For research use only |
Alternative Names
−Similar Products
−Human Glutathione Peroxidase 2, Gastrointestinal (GPX2) ELISA Kit [orb778568]
Human
0.32-20 ng/mL
0.117 ng/mL
48 T, 96 TSheep Glutathione Peroxidase 2, Gastrointestinal (GPX2) ELISA Kit [orb782516]
Sheep
0.32-20 ng/mL
0.126 ng/mL
96 T, 48 TGPX2 Rabbit Polyclonal Antibody [orb157377]
IF, IHC-Fr, IHC-P, WB
Bovine, Canine, Equine, Human, Rabbit, Sheep
Mouse, Rat
Rabbit
Polyclonal
Unconjugated
50 μl, 100 μl, 200 μlGlutathione peroxidase 2 (Int) Antibody [orb19054]
ELISA, WB
Bovine, Canine, Mouse, Porcine, Rat
Human
Goat
Polyclonal
Unconjugated
100 μgGPX2 Rabbit Polyclonal Antibody [orb1100565]
ELISA, IHC, WB
Human, Mouse, Rat
Rabbit
Polyclonal
Unconjugated
50 μg, 100 μg

Quality Guarantee
Explore bioreagents carefree to elevate your research. All our products are rigorously tested for performance. If a product does not perform as described on its datasheet, our scientific support team will provide expert troubleshooting, a prompt replacement, or a refund. For full details, please see our Terms & Conditions and Buying Guide. Contact us at [email protected].

Western blot analysis of extracts of various cell lines, using GPX2 antibody (orb1259206) at 1:1000 dilution. Secondary antibody: HRP Goat Anti-Rabbit IgG (H+L) at 1:10000 dilution. Lysates/proteins: 25 ug per lane. Blocking buffer: 3% nonfat dry milk in TBST. Detection: ECL Basic Kit. Exposure time: 90s.

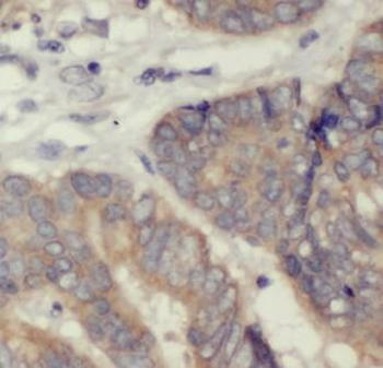
Immunohistochemistry of paraffin-embedded human colon carcinoma using GPX2 antibody (orb1259206) at dilution of 1:100 (40x lens).

Immunohistochemistry of paraffin-embedded rat stomach using GPX2 antibody (orb1259206) at dilution of 1:100 (40x lens).

Immunohistochemistry of paraffin-embedded mouse stomach using GPX2 antibody (orb1259206) at dilution of 1:100 (40x lens).
Quick Database Links
UniProt Details
−Documents Download
Request a Document
Protocol Information
GPX2 Antibody (orb1259206)
Participating in our Biorbyt product reviews program enables you to support fellow scientists by sharing your firsthand experience with our products.
Login to Submit a Review





