You have no items in your shopping cart.
You have no items in your shopping cart.
| Catalog Number | orb1269973 |
|---|---|
| Category | Antibodies |
| Description | GOT1L1 Antibody |
| Target | GOT1L1 |
| Clonality | Polyclonal |
| Isotype | Rabbit Ig |
| Conjugation | Unconjugated |
| Reactivity | Mouse |
| Form/Appearance | Liquid |
| Concentration | batch dependent |
| Buffer/Preservatives | Supplied in PBS with 0.09% (W/V) sodium azide. |
| Purification | This antibody is purified through a protein A column, followed by peptide affinity purification. |
| Immunogen | This GOT1L1 antibody is generated from rabbits immunized with a KLH conjugated synthetic peptide between 346-375 amino acids from the C-terminal region of human GOT1L1. |
| UniProt ID | Q8NHS2 |
| MW | 47 kDa |
| Tested applications | IF, IHC-P, WB |
| Application notes | For WB starting dilution is: 1:1000For IHC-P starting dilution is: 1:50~100For IF starting dilution is: 1:10~50 |
| Antibody Type | Primary Antibody |
| Storage | Maintain refrigerated at 2-8°C for up to 2 weeks. For long term storage store at -20°C in small aliquots to prevent freeze-thaw cycles. |
| Alternative names | Putative aspartate aminotransferase, cytoplasmic 2 Read more... |
| Research Area | Metabolism Research, Signal Transduction |
| Note | For research use only |
| NCBI | Q8NHS2 |

Western blot analysis in mouse kidney tissue lysates (35 ug/lane).

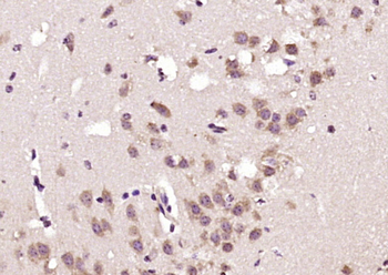
GOT1L1 Antibody immunohistochemistry analysis in formalin fixed and paraffin embedded human brain tissue followed by peroxidase conjugation of the secondary antibody and DAB staining.

Confocal immunofluorescent analysis of GOT1L1 Antibody with U-251MG cell followed by Alexa Fluor 488-conjugated goat anti-rabbit lgG (green). DAPI was used to stain the cell nuclear (blue).
IF, IHC-Fr, IHC-P, WB | |
Bovine, Equine, Human, Porcine, Rabbit, Sheep | |
Mouse, Rat | |
Rabbit | |
Polyclonal | |
Unconjugated |
IF, IHC-P, WB | |
Human, Mouse | |
Rabbit | |
Polyclonal | |
Unconjugated |
IF | |
Bovine, Equine, Human, Porcine, Rabbit, Sheep | |
Mouse, Rat | |
Rabbit | |
Polyclonal | |
RBITC |
IF | |
Bovine, Equine, Human, Porcine, Rabbit, Sheep | |
Mouse, Rat | |
Rabbit | |
Polyclonal | |
Cy7 |
IF | |
Bovine, Equine, Human, Porcine, Rabbit, Sheep | |
Mouse, Rat | |
Rabbit | |
Polyclonal | |
Cy5.5 |
Participating in our Biorbyt product reviews program enables you to support fellow scientists by sharing your firsthand experience with our products.
Login to Submit a Review