You have no items in your shopping cart.
TPPP/p25 Antibody
Description
Images & Validation
−| Tested Applications | ELISA, IHC, WB |
|---|---|
| Dilution Range | ELISA: 1:32000, WB: 0.001-0.01 μg/ml, IHC-P: 3.75 μg/ml |
| Reactivity | Human, Mouse, Rat |
| Application Notes |
Key Properties
−| Host | Goat |
|---|---|
| Clonality | Polyclonal |
| Target | TPPP/p25 |
| Protein Sequence | DPSKDRAAKRLSLES |
| Molecular Weight | 23.7 |
| Purification | Purified from goat serum by ammonium sulphate precipitation followed by antigen affinity chromatography using the immunizing peptide. |
| Conjugation | Unconjugated |
Storage & Handling
−| Storage | Maintain refrigerated at 2-8°C for up to 2 weeks. For long term storage store at -20°C in small aliquots to prevent freeze-thaw cycles. |
|---|---|
| Buffer/Preservatives | Supplied at 0.5 mg/ml in Tris saline, 0.02% sodium azide, pH 7.3 with 0.5% bovine serum albumin. Aliquot and store at -20°C. Minimize freezing and thawing. |
| Expiration Date | 12 months from date of receipt. |
| Disclaimer | For research use only |
Alternative Names
−Similar Products
−Mouse Tubulin Polymerization Promoting Protein (TPPP) ELISA Kit [orb776509]
Mouse
0.16-10 ng/mL
0.051 ng/mL
96 T, 48 THuman Tubulin Polymerization Promoting Protein (TPPP) ELISA Kit [orb778491]
Human
0.32-20 ng/mL
0.129 ng/mL
96 T, 48 TTPPP Rabbit Polyclonal Antibody [orb158640]
IF, IHC-Fr, IHC-P
Bovine, Canine, Gallus, Human, Porcine, Rat
Mouse
Rabbit
Polyclonal
Unconjugated
200 μl, 50 μl, 100 μlTPPP Rabbit Polyclonal Antibody [orb1291657]
ELISA, FC, WB
Human, Mouse, Rat
Rabbit
Polyclonal
Unconjugated
100 μg

Quality Guarantee
Explore bioreagents carefree to elevate your research. All our products are rigorously tested for performance. If a product does not perform as described on its datasheet, our scientific support team will provide expert troubleshooting, a prompt replacement, or a refund. For full details, please see our Terms & Conditions and Buying Guide. Contact us at [email protected].

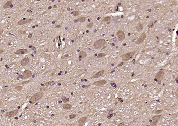
Immunohistochemical staining of Human Cerebellum using TPPP antibody

Immunohistochemical staining of Human Cerebellum using TPPP antibody

Immunohistochemical staining of Human Cortex using TPPP antibody

Western blot analysis of Mouse (Lane1) and Rat (Lane2) Brain lysate using TPPP antibody

Western blot analysis of Human Cerebellum lysate using TPPP antibody
Documents Download
Request a Document
Protocol Information
TPPP/p25 Antibody (orb20600)
Participating in our Biorbyt product reviews program enables you to support fellow scientists by sharing your firsthand experience with our products.
Login to Submit a Review









