You have no items in your shopping cart.
GATA5 Antibody
Description
Images & Validation
−| Tested Applications | ELISA, IHC, WB |
|---|---|
| Dilution range | WB: 1:500-1:2000; IHC: 1:20-1:200 |
| Reactivity | Human, Mouse |
Key Properties
−| Antibody Type | Primary Antibody |
|---|---|
| Host | Rabbit |
| Clonality | Polyclonal |
| Isotype | IgG |
| Immunogen | GATA binding protein 5 |
| Target | GATA5 |
| Molecular Weight | 41 kDa |
| Purity | ≥95% as determined by SDS-PAGE |
| Purification | Immunogen affinity purified |
| Conjugation | Unconjugated |
Storage & Handling
−| Storage | Maintain refrigerated at 2-8°C for up to 2 weeks. For long term storage store at -20°C in small aliquots to prevent freeze-thaw cycles. |
|---|---|
| Form/Appearance | liquid |
| Disclaimer | For research use only |
Similar Products
−GATA5 Rabbit Polyclonal Antibody [orb13420]
IF, IHC-Fr, IHC-P
Bovine, Canine, Human, Mouse, Porcine
Rat
Rabbit
Polyclonal
Unconjugated
200 μl, 50 μl, 100 μlGATA-5 rabbit pAb Antibody [orb767699]
ELISA, IF, IHC, WB
Human, Mouse
Polyclonal
Unconjugated
100 μl, 50 μl

Quality Guarantee
Explore bioreagents carefree to elevate your research. All our products are rigorously tested for performance. If a product does not perform as described on its datasheet, our scientific support team will provide expert troubleshooting, a prompt replacement, or a refund. For full details, please see our Terms & Conditions and Buying Guide. Contact us at [email protected].

HepG2 cells were subjected to SDS PAGE followed by western blot with orb627255 (GATA5 Antibody) at dilution of 1:300.

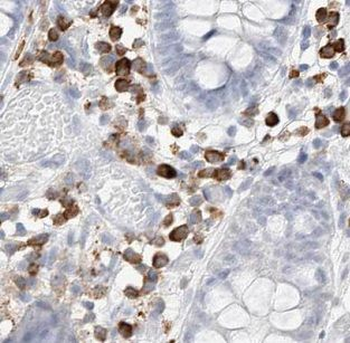
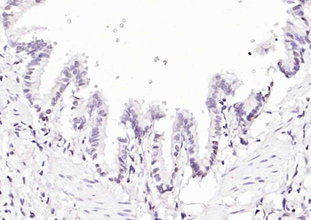
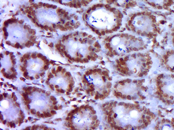
Immunohistochemistry of paraffin-embedded human colon using orb627255 (GATA5 antibody) at dilution of 1:50.
Quick Database Links
UniProt Details
−Documents Download
Request a Document
Protocol Information
GATA5 Antibody (orb627255)
Participating in our Biorbyt product reviews program enables you to support fellow scientists by sharing your firsthand experience with our products.
Login to Submit a Review













