You have no items in your shopping cart.
FOXO1 Antibody
Description
Research Area
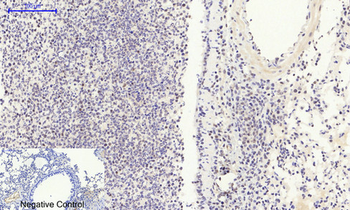
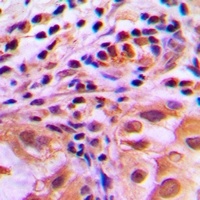
Images & Validation
−| Tested Applications | ELISA, IF, IHC, WB |
|---|---|
| Dilution range | WB: 1:500-1:2000, IHC-P: 1:100-1:300, IF: 1:200-1:1000, ELISA: 1:10000 |
| Reactivity | Human, Mouse, Rat |
Key Properties
−| Host | Rabbit |
|---|---|
| Clonality | Polyclonal |
| Isotype | IgG |
| Immunogen | Synthesized peptide derived from Human FoxO1A around the non-phosphorylation site of S329. |
| Target | FOXO1 |
| Purification | The antibody was affinity-purified from rabbit antiserum by affinity-chromatography using epitope-specific immunogen. |
| Conjugation | Unconjugated |
Storage & Handling
−| Storage | Maintain refrigerated at 2-8°C for up to 2 weeks. For long term storage store at -20°C in small aliquots to prevent freeze-thaw cycles. |
|---|---|
| Form/Appearance | Liquid |
| Buffer/Preservatives | Liquid in PBS containing 50% glycerol, 0.5% rAlbumin and 0.02% sodium azide. |
| Disclaimer | For research use only |
Alternative Names
−Similar Products
−Phospho-FoxO1 (Ser256) Rabbit Polyclonal Antibody [orb6050]
ELISA, FC, IF, IHC-Fr, IHC-P
Bovine, Canine, Equine, Gallus, Porcine
Human, Mouse, Rabbit, Rat
Rabbit
Polyclonal
Unconjugated
50 μl, 100 μl, 200 μlPhospho-FoxO1 (Ser319) Rabbit Polyclonal Antibody [orb312246]
IF, IHC-Fr, IHC-P, WB
Bovine, Canine, Equine, Gallus, Porcine
Human, Mouse, Rat
Rabbit
Polyclonal
Unconjugated
200 μl, 50 μl, 100 μlFOXO1 Rabbit Polyclonal Antibody [orb13413]
FC, IF, IHC-Fr, IHC-P, WB
Bovine, Canine, Equine, Gallus, Mouse, Porcine, Rabbit
Human, Rat
Rabbit
Polyclonal
Unconjugated
50 μl, 100 μl, 200 μlFOXO1 Antibody [orb97432]
FC, ICC, IHC, WB
Human, Monkey, Mouse, Rabbit, Rat
Mouse
Monoclonal
Unconjugated
100 μlFoxO1 (phospho Ser256) rabbit pAb Antibody [orb768175]
ELISA, IF, IHC, WB
Drosophila, Human, Mouse, Rat
Polyclonal
Unconjugated
100 μl, 50 μl

Quality Guarantee
Explore bioreagents carefree to elevate your research. All our products are rigorously tested for performance. If a product does not perform as described on its datasheet, our scientific support team will provide expert troubleshooting, a prompt replacement, or a refund. For full details, please see our Terms & Conditions and Buying Guide. Contact us at [email protected].

Western blot analysis of HELA Jurkat cells using FOXO1 antibody

Western blot analysis of HeLa cells using FOXO1 antibody
Quick Database Links
UniProt Details
−Documents Download
Request a Document
Protocol Information
FOXO1 Antibody (orb675555)
Participating in our Biorbyt product reviews program enables you to support fellow scientists by sharing your firsthand experience with our products.
Login to Submit a Review







































