You have no items in your shopping cart.
F2RL1 Antibody
Description
Research Area
Images & Validation
−| Tested Applications | ELISA, IF, IHC |
|---|---|
| Dilution Range | IHC-P:1:20-200, IF:1:50-200 |
| Reactivity | Human |
Key Properties
−| Host | Rabbit |
|---|---|
| Clonality | Polyclonal |
| Isotype | IgG |
| Immunogen | Recombinant Human Proteinase-activated receptor 2 protein (348-397AA) |
| Target | F2RL1 |
| Purification | >95%, Protein G purified |
| Conjugation | Unconjugated |
Storage & Handling
−| Storage | Maintain refrigerated at 2-8°C for up to 2 weeks. For long term storage store at -20°C in small aliquots to prevent freeze-thaw cycles. |
|---|---|
| Form/Appearance | Liquid |
| Buffer/Preservatives | Preservative: 0.03% Proclin 300. Constituents: 50% Glycerol |
| Expiration Date | 12 months from date of receipt. |
| Disclaimer | For research use only |
Alternative Names
−Similar Products
−Human Protease Activated Receptor 2 (PAR2) ELISA Kit [orb776280]
Human
0.16-10 ng/mL
0.06 ng/mL
96 T, 48 TRat Protease Activated Receptor 2 (PAR2) ELISA Kit [orb775502]
Rat
0.16-10 ng/mL
0.053 ng/mL
48 T, 96 TMouse Protease Activated Receptor 2 (PAR2) ELISA Kit [orb775503]
Mouse
0.16-10 ng/mL
0.055 ng/mL
96 T, 48 TPAR-2 Rabbit Polyclonal Antibody [orb11235]
IF, IHC-Fr, IHC-P, WB
Mouse, Rabbit
Human, Rat
Rabbit
Polyclonal
Unconjugated
50 μl, 100 μl, 200 μlPAR-2 Rabbit Polyclonal Antibody [orb704504]
IF, IHC-Fr, IHC-P, WB
Human
Rabbit
Polyclonal
Unconjugated
50 μl, 100 μl, 200 μl

Quality Guarantee
Explore bioreagents carefree to elevate your research. All our products are rigorously tested for performance. If a product does not perform as described on its datasheet, our scientific support team will provide expert troubleshooting, a prompt replacement, or a refund. For full details, please see our Terms & Conditions and Buying Guide. Contact us at [email protected].

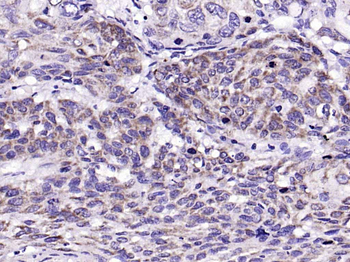
Immunohistochemical staining of human small intestine tissue using F2RL1 antibody

Immunofluorescence analysis of A549 cells using F2RL1 antibody
Quick Database Links
UniProt Details
−Documents Download
Request a Document
Protocol Information
F2RL1 Antibody (orb52535)
Participating in our Biorbyt product reviews program enables you to support fellow scientists by sharing your firsthand experience with our products.
Login to Submit a Review







