You have no items in your shopping cart.
ELAVL4 Polyclonal Antibody
Description
Research Area
Images & Validation
−| Tested Applications | ELISA, ICC, IF, IHC-Fr, IHC-P, WB |
|---|---|
| Reactivity | Rat |
Key Properties
−| Host | Rabbit |
|---|---|
| Clonality | Polyclonal |
| Conjugation | Unconjugated |
Storage & Handling
−| Storage | Maintain refrigerated at 2-8°C for up to 2 weeks. For long term storage store at -20°C in small aliquots to prevent freeze-thaw cycles |
|---|---|
| Expiration Date | 12 months from date of receipt. |
| Disclaimer | For research use only |
Alternative Names
−Similar Products
−HuB/D rabbit pAb Antibody [orb767962]
ELISA, IF, IHC, WB
Human, Mouse, Rat
Polyclonal
Unconjugated
100 μl, 50 μlELAVL4 Rabbit Polyclonal Antibody [orb316561]
IF, IHC, WB
Human, Mouse, Rat
Rabbit
Polyclonal
Unconjugated
100 μgHuB Rabbit Polyclonal Antibody [orb224165]
IF, IHC, WB
Bovine, Gallus, Human, Mouse, Rat
Rabbit
Polyclonal
Unconjugated
30 μl, 100 μl, 200 μl, 50 μlELAVL2/ELAVL4 Antibody [orb684975]
ELISA, IF, WB
Human, Mouse, Rat
Rabbit
Polyclonal
Unconjugated
100 μl

Quality Guarantee
Explore bioreagents carefree to elevate your research. All our products are rigorously tested for performance. If a product does not perform as described on its datasheet, our scientific support team will provide expert troubleshooting, a prompt replacement, or a refund. For full details, please see our Terms & Conditions and Buying Guide. Contact us at [email protected].

Sample: SY5Y (Human) Cell Lysate at 30 ug. Primary: Anti- ELAVL4 at 1/1000 dilution. Secondary: IRDye800CW Goat Anti-Rabbit IgG at 1/20000 dilution. Predicted band size: 42 kD. Observed band size: 42 kD.

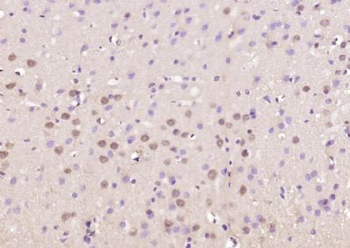
Paraformaldehyde-fixed, paraffin embedded (mouse brain); Antigen retrieval by boiling in sodium citrate buffer (pH6.0) for 15 min; Block endogenous peroxidase by 3% hydrogen peroxide for 20 minutes; Blocking buffer (normal goat serum) at 37°C for 30 min; Antibody incubation with (ELAVL4) Polyclonal Antibody, Unconjugated at 1: 200 overnight at 4°C, followed by operating according to SP Kit (Rabbit) instructions and DAB staining.
Quick Database Links
UniProt Details
−Documents Download
Request a Document
Protocol Information
ELAVL4 Polyclonal Antibody (orb1421180)
Participating in our Biorbyt product reviews program enables you to support fellow scientists by sharing your firsthand experience with our products.
Login to Submit a Review
















