You have no items in your shopping cart.
EBAG9 Antibody
Description
Images & Validation
−| Tested Applications | ELISA, IF, IHC, IP, WB |
|---|---|
| Dilution range | WB: 1:500-1:2000; IP: 1:200-1:1000; IHC: 1:20-1:200; IF: 1:20-1:200 |
| Reactivity | Human, Mouse, Rat |
Key Properties
−| Antibody Type | Primary Antibody |
|---|---|
| Host | Rabbit |
| Clonality | Polyclonal |
| Isotype | IgG |
| Immunogen | estrogen receptor binding site associated, antigen, 9 |
| Target | EBAG9 |
| Purity | ≥95% as determined by SDS-PAGE |
| Purification | Immunogen affinity purified |
| Conjugation | Unconjugated |
Storage & Handling
−| Storage | Maintain refrigerated at 2-8°C for up to 2 weeks. For long term storage store at -20°C in small aliquots to prevent freeze-thaw cycles. |
|---|---|
| Form/Appearance | liquid |
| Disclaimer | For research use only |
Similar Products
−EBAG9 Antibody [orb1410258]
IHC
Human
Rabbit
Monoclonal
Unconjugated
20 μg, 100 μg, 100 μg (without BSA and Azide)EBAG9/RCAS1 Antibody [orb19280]
ELISA, IHC, WB
Canine, Mouse, Rat
Human
Goat
Polyclonal
Unconjugated
100 μgEBAG9 Antibody (Center) [orb1932014]
WB
Mouse
Human, Mouse, Rat
Rabbit
Polyclonal
Unconjugated
100 μl, 50 μlEBAG9 Antibody / Estrogen Receptor Binding Site Associated Antigen 9 / RCAS1 [orb640025]
IF, IHC-P
Human
Mouse
Monoclonal
Unconjugated
100 μg, 20 μg

Quality Guarantee
Explore bioreagents carefree to elevate your research. All our products are rigorously tested for performance. If a product does not perform as described on its datasheet, our scientific support team will provide expert troubleshooting, a prompt replacement, or a refund. For full details, please see our Terms & Conditions and Buying Guide. Contact us at [email protected].

mouse heart tissue were subjected to SDS PAGE followed by western blot with orb630598 (RCAS1 antibody) at dilution of 1:600.

IP Result of anti-RCAS1 (IP: orb630598, 3 ug; Detection: orb630598 1:800) with mouse heart tissue lysate 1000 ug.

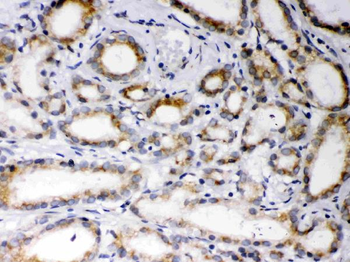
Immunohistochemistry of paraffin-embedded human breast cancer using orb630598 (EBAG9 antibody) at dilution of 1:50.
Quick Database Links
UniProt Details
−Documents Download
Request a Document
Protocol Information
EBAG9 Antibody (orb630598)
Participating in our Biorbyt product reviews program enables you to support fellow scientists by sharing your firsthand experience with our products.
Login to Submit a Review










