You have no items in your shopping cart.
You have no items in your shopping cart.
| Catalog Number | orb1937177 |
|---|---|
| Category | Antibodies |
| Description | DULLARD Antibody (Center) |
| Clonality | Polyclonal |
| Species/Host | Rabbit |
| Isotype | Rabbit IgG |
| Conjugation | Unconjugated |
| Reactivity | Human |
| Predicted Reactivity | Bovine, Mouse, Rat |
| Form/Appearance | Purified polyclonal antibody supplied in PBS with 0.05% (V/V) Proclin 300. This antibody is prepared by Saturated Ammonium Sulfate (SAS) precipitation followed by dialysis against PBS. |
| UniProt ID | O95476 |
| MW | 28377 Da |
| Tested applications | FC, IHC-P, WB |
| Dilution range | WB - 1:1000 |
| Antibody Type | Primary Antibody |
| Storage | Maintain refrigerated at 2-8°C for up to 2 weeks. For long term storage store at -20°C in small aliquots to prevent freeze-thaw cycles |
| Alternative names | DULLARD |
| Research Area | Neuroscience, Signal Transduction |
| Note | For research use only |

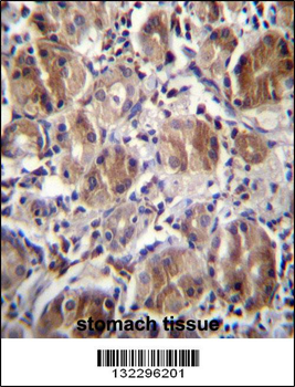
DULLARD Antibdy (Center) immunohistochemistry analysis in formalin fixed and paraffin embedded human stomach tissue followed by peroxidase conjugation of the secondary antibody and DAB staining. This data demonstrates the use of DULLARD Antibdy (Center) for immunohistochemistry. Clinical relevance has not been evaluated.

DULLARD Antibody (Center) western blot analysis in Jurkat cell line lysates (35 ug/lane). This demonstrates the DULLARD antibody detected the DULLARD protein (arrow).

DULLARD Antibody (Center) flow cytometric analysis of Jurkat cells (right histogram) compared to a negative control cell (left histogram). FITC-conjugated donkey-anti-rabbit secondary antibodies were used for the analysis.
Participating in our Biorbyt product reviews program enables you to support fellow scientists by sharing your firsthand experience with our products.
Login to Submit a Review