You have no items in your shopping cart.
You have no items in your shopping cart.
| Catalog Number | orb1951518 |
|---|---|
| Category | Antibodies |
| Description | DKK1 Rabbit mAb |
| Clonality | Recombinant |
| Species/Host | Rabbit |
| Conjugation | Unconjugated |
| Reactivity | Human, Rat |
| UniProt ID | O94907 |
| Tested applications | FC, ICC, IHC, WB |
| Antibody Type | Recombinant Antibody |
| Storage | Maintain refrigerated at 2-8°C for up to 2 weeks. For long term storage store at -20°C in small aliquots to prevent freeze-thaw cycles. |
| Note | For research use only |

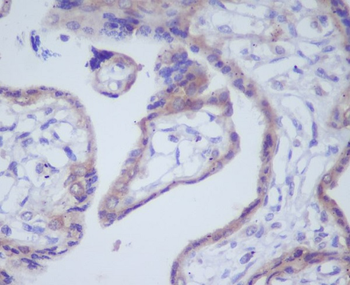
Immunohistochemical analysis of paraffin-embedded human placenta, using DKK1 Antibody.

Western blot analysis of DKK1 expression in HeLa cell lysate.
FC, ICC, IHC, WB | |
Human, Rat | |
Rabbit | |
Recombinant | |
Unconjugated |
Participating in our Biorbyt product reviews program enables you to support fellow scientists by sharing your firsthand experience with our products.
Login to Submit a Review