You have no items in your shopping cart.
DENND2D Polyclonal Antibody
Description
Images & Validation
−| Tested Applications | ELISA, ICC, IF, IHC-Fr, IHC-P, WB |
|---|---|
| Reactivity | Porcine, Rat |
Key Properties
−| Host | Rabbit |
|---|---|
| Clonality | Polyclonal |
| Conjugation | Unconjugated |
Storage & Handling
−| Storage | Maintain refrigerated at 2-8°C for up to 2 weeks. For long term storage store at -20°C in small aliquots to prevent freeze-thaw cycles |
|---|---|
| Disclaimer | For research use only |
Alternative Names
−Similar Products
−DENND2D Rabbit Polyclonal Antibody [orb1911]
IF, IHC-Fr, IHC-P
Bovine, Canine, Equine, Mouse, Porcine, Rabbit, Rat, Sheep
Human
Rabbit
Polyclonal
Unconjugated
200 μl, 50 μl, 100 μlDENND2D Rabbit Polyclonal Antibody (APC) [orb992244]
IF
Bovine, Canine, Equine, Mouse, Porcine, Rabbit, Rat, Sheep
Human
Rabbit
Polyclonal
APC
100 μlDENND2D Rabbit Polyclonal Antibody (PE-Cy5) [orb1015556]
IF
Bovine, Canine, Equine, Mouse, Porcine, Rabbit, Rat, Sheep
Human
Rabbit
Polyclonal
PE/Cy5
100 μl

Quality Guarantee
Explore bioreagents carefree to elevate your research. All our products are rigorously tested for performance. If a product does not perform as described on its datasheet, our scientific support team will provide expert troubleshooting, a prompt replacement, or a refund. For full details, please see our Terms & Conditions and Buying Guide. Contact us at [email protected].

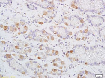
Tissue/cell: human colon carcinoma; 4% Paraformaldehyde-fixed and paraffin-embedded; Antigen retrieval: citrate buffer (0.01M, pH6.0), Boiling bathing for 15 min; Block endogenous peroxidase by 3% Hydrogen peroxide for 30 min; Blocking buffer (normal goat serum) at 37°C for 20 min; Incubation: Anti-DENND2D Polyclonal Antibody, Unconjugated 1: 200, overnight at 4°C, followed by conjugation to the secondary antibody and DAB staining.

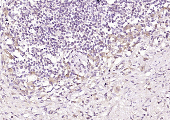
Paraformaldehyde-fixed, paraffin embedded (human gastric carcinoma); Antigen retrieval by boiling in sodium citrate buffer (pH6.0) for 15 min; Block endogenous peroxidase by 3% hydrogen peroxide for 20 minutes; Blocking buffer (normal goat serum) at 37°C for 30 min; Antibody incubation with (DENND2D) Polyclonal Antibody, Unconjugated at 1: 200 overnight at 4°C, followed by operating according to SP Kit (Rabbit) instructions and DAB staining.
Quick Database Links
UniProt Details
−Documents Download
Request a Document
Protocol Information
DENND2D Polyclonal Antibody (orb1416301)
Participating in our Biorbyt product reviews program enables you to support fellow scientists by sharing your firsthand experience with our products.
Login to Submit a Review




