You have no items in your shopping cart.
DEFB132 Antibody
Description
Images & Validation
−| Tested Applications | IHC, WB |
|---|---|
| Reactivity | Human, Mouse |
| Application Notes |
Key Properties
−| Antibody Type | Primary Antibody |
|---|---|
| Host | Rabbit |
| Clonality | Polyclonal |
| Isotype | IgG |
| Immunogen | Recombinant fusion protein containing a sequence corresponding to amino acids 1-95 of human DEFB132 (NP_997352.1). |
| Target | DEFB132 |
| Purification | Affinity purification |
| Conjugation | Unconjugated |
Storage & Handling
−| Storage | Maintain refrigerated at 2-8°C for up to 2 weeks. For long term storage store at -20°C in small aliquots to prevent freeze-thaw cycles. |
|---|---|
| Buffer/Preservatives | Liquid |
| Concentration | batch dependent |
| Disclaimer | For research use only |
Alternative Names
−Similar Products
−DEFB132 Rabbit Polyclonal Antibody [orb183046]
ELISA, ICC, IF, IHC-Fr, IHC-P
Human
Human
Rabbit
Polyclonal
Unconjugated
100 μl, 50 μl, 200 μlDEFB132 Rabbit Polyclonal Antibody (HRP) [orb471704]
ELISA, IHC-Fr, IHC-P
Human
Rabbit
Polyclonal
HRP
100 μl

Quality Guarantee
Explore bioreagents carefree to elevate your research. All our products are rigorously tested for performance. If a product does not perform as described on its datasheet, our scientific support team will provide expert troubleshooting, a prompt replacement, or a refund. For full details, please see our Terms & Conditions and Buying Guide. Contact us at [email protected].

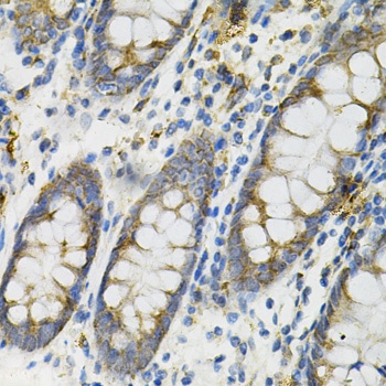
Immunohistochemistry of paraffin-embedded human colon using DEFB132 antibody (orb1254871) at dilution of 1:100 (40x lens).

Immunohistochemistry of paraffin-embedded human esophagus using DEFB132 antibody (orb1254871) at dilution of 1:100 (40x lens).

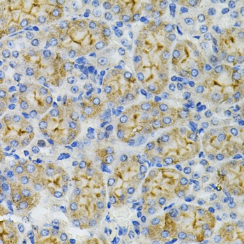
Immunohistochemistry of paraffin-embedded mouse kidney using DEFB132 antibody (orb1254871) at dilution of 1:100 (40x lens).
Quick Database Links
UniProt Details
−Documents Download
Request a Document
Protocol Information
DEFB132 Antibody (orb1254871)
Participating in our Biorbyt product reviews program enables you to support fellow scientists by sharing your firsthand experience with our products.
Login to Submit a Review

