You have no items in your shopping cart.
DCX Antibody
Description
Images & Validation
−| Tested Applications | ELISA, IF, IHC, WB |
|---|---|
| Reactivity | Human, Mouse |
| Predicted Reactivity | Bovine, Canine, Porcine, Rat |
| Application Notes |
Key Properties
−| Antibody Type | Primary Antibody |
|---|---|
| Host | Goat |
| Clonality | Polyclonal |
| Immunogen | The immunogen for this antibody is: C-KTSANMKAPQS |
| Target | DCX |
| Purification | Purified from goat serum by ammonium sulphate precipitation followed by antigen affinity chromatography using the immunizing peptide. |
| Conjugation | Unconjugated |
Storage & Handling
−| Storage | Maintain refrigerated at 2-8°C for up to 2 weeks. For long term storage store at -20°C in small aliquots to prevent freeze-thaw cycles. |
|---|---|
| Form/Appearance | Liquid |
| Buffer/Preservatives | Supplied at 0.5 mg/ml in Tris saline, 0.02% sodium azide, pH 7.3 with 0.5% bovine serum albumin. Aliquot and store at -20°C. Minimize freezing and thawing. |
| Concentration | 500 ug/mL |
| Expiration Date | 12 months from date of receipt. |
| Disclaimer | For research use only |
Alternative Names
−Similar Products
−DCX Antibody [orb97486]
FC, ICC, IHC, WB
Human, Monkey, Mouse, Rabbit, Rat
Mouse
Monoclonal
Unconjugated
100 μlDoublecortin/DCX (aa232-242) Antibody [orb22535]
ELISA, IF, IHC, WB
Bovine, Canine, Porcine
Human, Mouse, Rat
Goat
Polyclonal
Unconjugated
100 μgEHMT2/G9A Rabbit Polyclonal Antibody [orb763039]
ELISA, FC, ICC, IF, IHC, WB
Human, Mouse, Rat
Rabbit
Polyclonal
Unconjugated
100 μgDoublecortin rabbit pAb Antibody [orb767852]
ELISA, IF, IHC, WB
Human, Mouse, Rat
Polyclonal
Unconjugated
50 μl, 100 μlDCX/Doublecortin Rabbit Polyclonal Antibody [orb500969]
IF, IHC-Fr, IHC-P, WB
Bovine, Canine, Equine, Porcine, Rabbit
Human, Mouse, Rat
Rabbit
Polyclonal
Unconjugated
50 μl, 100 μl, 200 μl

Quality Guarantee
Explore bioreagents carefree to elevate your research. All our products are rigorously tested for performance. If a product does not perform as described on its datasheet, our scientific support team will provide expert troubleshooting, a prompt replacement, or a refund. For full details, please see our Terms & Conditions and Buying Guide. Contact us at [email protected].

orb1249258 (0.01 ug/ml) staining of Mouse fetal Brain lysate (35 ug protein in RIPA buffer). Detected by chemiluminescence.

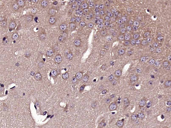
orb1249258 (2 ug/ml) staining of paraffin embedded Human Cerebellum. Microwaved antigen retrieval with citrate buffer pH 6, HRP-staining.

orb1249258 Negative Control showing staining of paraffin embedded Human Cerebellum, with no primary antibody.

orb1249258 Immunofluorescence analysis of paraformaldehyde fixed HepG2 cells, permeabilized with 0.15% Triton. Primary incubation 1hr (5 ug/ml) followed by Alexa Fluor 488 secondary antibody (1 ug/ml), showing cytoplasmic staining. The nuclear stain is DAPI.
Quick Database Links
UniProt Details
−NCBI Reference Sequences
−| Protein | NP_000546.2, NP_835365.1, NP_001182482.1, NP_835364.1 |
|---|
Documents Download
Request a Document
Protocol Information
DCX Antibody (orb1249258)
Participating in our Biorbyt product reviews program enables you to support fellow scientists by sharing your firsthand experience with our products.
Login to Submit a Review























