You have no items in your shopping cart.
DACH1 Antibody
Description
Images & Validation
−| Tested Applications | ELISA, IHC, IP, WB |
|---|---|
| Dilution range | WB: 1:500-1:2000; IP: 1:200-1:1000; IHC: 1:20-1:200 |
| Reactivity | Human, Mouse, Rat |
Key Properties
−| Antibody Type | Primary Antibody |
|---|---|
| Host | Rabbit |
| Clonality | Polyclonal |
| Isotype | IgG |
| Immunogen | dachshund homolog 1(Drosophila) |
| Target | DACH1 |
| Molecular Weight | 97-100 kDa |
| Purity | ≥95% as determined by SDS-PAGE |
| Purification | Immunogen affinity purified |
| Conjugation | Unconjugated |
Storage & Handling
−| Storage | Maintain refrigerated at 2-8°C for up to 2 weeks. For long term storage store at -20°C in small aliquots to prevent freeze-thaw cycles. |
|---|---|
| Form/Appearance | liquid |
| Disclaimer | For research use only |
Alternative Names
−Similar Products
−DACH1 Rabbit Polyclonal Antibody [orb330079]
WB
Mouse, Porcine, Yeast
Human
Rabbit
Polyclonal
Unconjugated
100 μlDachshund homolog 1 Antibody [orb19965]
ELISA, WB
Canine, Mouse, Porcine, Rat
Human
Goat
Polyclonal
Unconjugated
100 μg

Quality Guarantee
Explore bioreagents carefree to elevate your research. All our products are rigorously tested for performance. If a product does not perform as described on its datasheet, our scientific support team will provide expert troubleshooting, a prompt replacement, or a refund. For full details, please see our Terms & Conditions and Buying Guide. Contact us at [email protected].

IP Result of anti-DACH1 (IP: orb626247, 4 ug; Detection: orb626247 1:1000) with HEK-293 cells lysate 6000 ug.

HEK-293 cells were subjected to SDS PAGE followed by western blot with orb626247 (DACH1 Antibody) at dilution of 1:600.

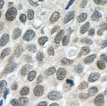
Immunohistochemistry of paraffin-embedded human oesophagus cancer tissue slide using orb626247 (DACH1 Antibody) at dilution of 1:200 heat mediated antigen retrieved with Tris-EDTA buffer (pH9).
Quick Database Links
UniProt Details
−Documents Download
Request a Document
Protocol Information
DACH1 Antibody (orb626247)
Participating in our Biorbyt product reviews program enables you to support fellow scientists by sharing your firsthand experience with our products.
Login to Submit a Review








