You have no items in your shopping cart.
CTRP7 Antibody
Description
Images & Validation
−| Tested Applications | ELISA, ICC, WB |
|---|---|
| Reactivity | Human, Mouse, Rat |
| Application Notes |
Key Properties
−| Antibody Type | Primary Antibody |
|---|---|
| Clonality | Polyclonal |
| Isotype | IgG |
| Immunogen | Rabbit anti-CTRP7 polyclonal antibody was raised against recombinant human CTRP7. |
| Target | C1qtnf7 |
| Purification | CTRP7 Antibody is DEAE purified. |
Storage & Handling
−| Storage | Maintain refrigerated at 2-8°C for up to 2 weeks. For long term storage store at -20°C in small aliquots to prevent freeze-thaw cycles. |
|---|---|
| Form/Appearance | Liquid |
| Buffer/Preservatives | CTRP7 Antibody is supplied in PBS containing 0.02% sodium azide. |
| Concentration | 1 mg/mL |
| Disclaimer | For research use only |
Alternative Names
−Similar Products
−Human C1q Tumor Necrosis Factor Related Protein 7 (C1QTNF7) ELISA Kit [orb1736739]
Human
2.5-160 ng/mL
1.4 ng/mL
48 T, 96 TCTRP7 Antibody [orb1239936]
ELISA, ICC, IF, WB
Human, Mouse, Rat
Polyclonal
Unconjugated
0.1 mg, 0.02 mgC1QTNF7 Rabbit Polyclonal Antibody [orb1562760]
ELISA, WB
Mouse, Rat
Human
Rabbit
Polyclonal
Unconjugated
100 μg

Quality Guarantee
Explore bioreagents carefree to elevate your research. All our products are rigorously tested for performance. If a product does not perform as described on its datasheet, our scientific support team will provide expert troubleshooting, a prompt replacement, or a refund. For full details, please see our Terms & Conditions and Buying Guide. Contact us at [email protected].

Western blot of recombinant CTRP7: (A) 5 ng, (B) 25 ng, and (C) 50 ng with CTRP2 antibody at 1 µg/mL.

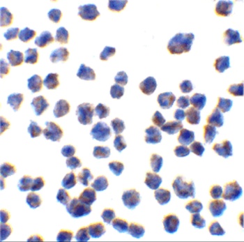
Immunocytochemistry of CTRP7 in 293 cells with CTRP7 antibody at 10 µg/mL.
Documents Download
Request a Document
Protocol Information
CTRP7 Antibody (orb1239935)
Participating in our Biorbyt product reviews program enables you to support fellow scientists by sharing your firsthand experience with our products.
Login to Submit a Review







