You have no items in your shopping cart.
You have no items in your shopping cart.
| Catalog Number | orb625961 |
|---|---|
| Category | Antibodies |
| Description | Mouse monoclonal antibody to COTL1 |
| Target | COTL1 |
| Clonality | Monoclonal |
| Species/Host | Mouse |
| Isotype | IgG1 |
| Conjugation | Unconjugated |
| Reactivity | Human, Mouse |
| Form/Appearance | liquid |
| Purity | ≥95% as determined by SDS-PAGE |
| Purification | Protein A+G purified |
| Immunogen | coactosin-like 1(Dictyostelium) |
| UniProt ID | Q14019 |
| MW | 16 kDa |
| Tested applications | ELISA, IF, IHC, WB |
| Dilution range | WB: 1:1000-1:2000; IHC: 1:20-1:200; IF: 1:20-1:200 |
| Antibody Type | Primary Antibody |
| Storage | Maintain refrigerated at 2-8°C for up to 2 weeks. For long term storage store at -20°C in small aliquots to prevent freeze-thaw cycles. |
| Alternative names | CLP |
| Research Area | Epigenetics |
| Note | For research use only |

fetal human brain tissue were subjected to SDS PAGE followed by western blot with orb625961 (COTL1 Antibody) at dilution of 1:2000.

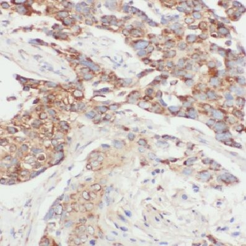
Immunohistochemistry of paraffin-embedded human lung cancer tissue slide using orb625961 (COTL1 Antibody) at dilution of 1:50.
Human | |
0.16-10 ng/mL | |
0.059 ng/mL |
FC, IHC-P, WB | |
Bovine | |
Human | |
Rabbit | |
Polyclonal | |
Unconjugated |
Participating in our Biorbyt product reviews program enables you to support fellow scientists by sharing your firsthand experience with our products.
Login to Submit a Review