You have no items in your shopping cart.
CORO2B Polyclonal Antibody
Description
Research Area
Images & Validation
−| Tested Applications | ELISA, ICC, IF, IHC-Fr, IHC-P, WB |
|---|---|
| Reactivity | Porcine, Rat |
Key Properties
−| Host | Rabbit |
|---|---|
| Clonality | Polyclonal |
| Conjugation | Unconjugated |
Storage & Handling
−| Storage | Maintain refrigerated at 2-8°C for up to 2 weeks. For long term storage store at -20°C in small aliquots to prevent freeze-thaw cycles |
|---|---|
| Expiration Date | 12 months from date of receipt. |
| Disclaimer | For research use only |
Alternative Names
−Similar Products
−CORO2B Rabbit Polyclonal Antibody [orb625957]
ELISA, IHC, WB
Human, Mouse, Rat
Rabbit
Polyclonal
Unconjugated
100 μg, 50 μgCORO2B Rabbit Polyclonal Antibody [orb182684]
IF, IHC-Fr, IHC-P
Bovine, Equine, Gallus, Porcine, Rat
Human, Mouse
Rabbit
Polyclonal
Unconjugated
50 μl, 100 μl, 200 μlCoro2b Rabbit Polyclonal Antibody [orb581585]
WB
Bovine, Canine, Equine, Guinea pig, Human, Rabbit, Rat
Mouse
Rabbit
Polyclonal
Unconjugated
100 μlCoro2b Rabbit Polyclonal Antibody [orb581586]
WB
Bovine, Canine, Equine, Guinea pig, Human, Rabbit, Rat, Zebrafish
Mouse
Rabbit
Polyclonal
Unconjugated
100 μl

Quality Guarantee
Explore bioreagents carefree to elevate your research. All our products are rigorously tested for performance. If a product does not perform as described on its datasheet, our scientific support team will provide expert troubleshooting, a prompt replacement, or a refund. For full details, please see our Terms & Conditions and Buying Guide. Contact us at [email protected].

Tissue/cell: Mouse brain tissue; 4% Paraformaldehyde-fixed and paraffin-embedded; Antigen retrieval: citrate buffer (0.01M, pH6.0), Boiling bathing for 15 min; Block endogenous peroxidase by 3% Hydrogen peroxide for 30 min; Blocking buffer (normal goat serum) at 37°C for 20 min; Incubation: Anti-CORO2B Polyclonal Antibody, Unconjugated 1: 500, overnight at 4°C, followed by conjugation to the secondary antibody and DAB staining.

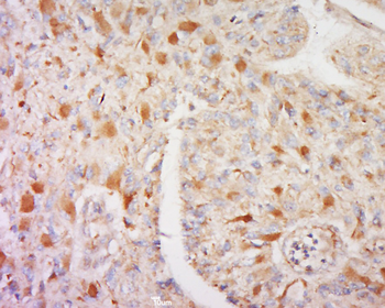
Tissue/cell: human gliomas tissue; 4% Paraformaldehyde-fixed and paraffin-embedded; Antigen retrieval: citrate buffer (0.01M, pH6.0), Boiling bathing for 15 min; Block endogenous peroxidase by 3% Hydrogen peroxide for 30 min; Blocking buffer (normal goat serum) at 37°C for 20 min; Incubation: Anti-CORO2B Polyclonal Antibody, Unconjugated 1: 500, overnight at 4°C, followed by conjugation to the secondary antibody and DAB staining.
Quick Database Links
UniProt Details
−Documents Download
Request a Document
Protocol Information
CORO2B Polyclonal Antibody (orb1420259)
Participating in our Biorbyt product reviews program enables you to support fellow scientists by sharing your firsthand experience with our products.
Login to Submit a Review





