You have no items in your shopping cart.
Description
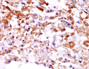
Images & Validation
−| Tested Applications | ELISA, ICC, IF, IHC-Fr, IHC-P, WB |
|---|---|
| Reactivity | Rat |
Key Properties
−| Host | Rabbit |
|---|---|
| Clonality | Polyclonal |
| Target | COPZ2 |
| Conjugation | Unconjugated |
Storage & Handling
−| Storage | Maintain refrigerated at 2-8°C for up to 2 weeks. For long term storage store at -20°C in small aliquots to prevent freeze-thaw cycles |
|---|---|
| Expiration Date | 12 months from date of receipt. |
| Disclaimer | For research use only |
Alternative Names
−Similar Products
−COPZ2 Antibody (C-term) [orb35472]
FC, IHC-P, WB
Human, Mouse
Rabbit
Polyclonal
Unconjugated
50 μl, 100 μlCOPZ2 Rabbit Polyclonal Antibody [orb182670]
IF, IHC-Fr, IHC-P
Bovine, Mouse, Rabbit, Rat, Sheep
Human
Rabbit
Polyclonal
Unconjugated
50 μl, 100 μl, 200 μlCOPZ2 Rabbit Polyclonal Antibody (HRP) [orb471519]
IHC-Fr, IHC-P
Bovine, Mouse, Rabbit, Rat, Sheep
Human
Rabbit
Polyclonal
HRP
100 μlCOPZ2 Rabbit Polyclonal Antibody (PE) [orb487394]
IF
Bovine, Mouse, Rabbit, Rat, Sheep
Human
Rabbit
Polyclonal
PE
100 μl

Quality Guarantee
Explore bioreagents carefree to elevate your research. All our products are rigorously tested for performance. If a product does not perform as described on its datasheet, our scientific support team will provide expert troubleshooting, a prompt replacement, or a refund. For full details, please see our Terms & Conditions and Buying Guide. Contact us at [email protected].

Tissue/cell: human laryngocarcinoma; 4% Paraformaldehyde-fixed and paraffin-embedded; Antigen retrieval: citrate buffer (0.01M, pH6.0), Boiling bathing for 15 min; Block endogenous peroxidase by 3% Hydrogen peroxide for 30 min; Blocking buffer (normal goat serum) at 37°C for 20 min; Incubation: Anti-COPZ2 Polyclonal Antibody, Unconjugated 1:400, overnight at 4°C, followed by conjugation to the secondary antibody and DAB staining.
Quick Database Links
UniProt Details
−Documents Download
Request a Document
Protocol Information
COPZ2 Polyclonal Antibody (orb1420267)
Participating in our Biorbyt product reviews program enables you to support fellow scientists by sharing your firsthand experience with our products.
Login to Submit a Review



