You have no items in your shopping cart.
CKB Antibody
Description
Research Area
Images & Validation
−| Tested Applications | ELISA, IHC, IP, WB |
|---|---|
| Dilution range | WB: 1:500-1:3000; IP: 1:500-1:1000; IHC: 1:20-1:200 |
| Reactivity | Human, Mouse, Rat |
Key Properties
−| Antibody Type | Primary Antibody |
|---|---|
| Host | Rabbit |
| Clonality | Polyclonal |
| Isotype | IgG |
| Immunogen | creatine kinase, brain |
| Target | CKB |
| Molecular Weight | 42 kDa |
| Purity | ≥95% as determined by SDS-PAGE |
| Purification | Immunogen affinity purified |
| Conjugation | Unconjugated |
Storage & Handling
−| Storage | Maintain refrigerated at 2-8°C for up to 2 weeks. For long term storage store at -20°C in small aliquots to prevent freeze-thaw cycles. |
|---|---|
| Form/Appearance | liquid |
| Disclaimer | For research use only |
Similar Products
−CKB Antibody [orb1410171]
ELISA, IHC, WB
Guinea pig, Hamster, Human, Mouse, Rat
Mouse
Monoclonal
Unconjugated
20 μg, 100 μg, 100 μg (without BSA and Azide)CKB Antibody [orb2310034]
ELISA, IHC, WB
Guinea pig, Hamster, Human, Mouse, Rat
Mouse
Monoclonal
Unconjugated
100 μg, 20 μg, 100 μg (without BSA and Azide)Human Myeloid Progenitor Inhibitory Factor 1 (MPIF1) ELISA Kit [orb776339]
Human
15.63-1000 pg/mL
0.49 pg/mL
96 T, 48 T

Quality Guarantee
Explore bioreagents carefree to elevate your research. All our products are rigorously tested for performance. If a product does not perform as described on its datasheet, our scientific support team will provide expert troubleshooting, a prompt replacement, or a refund. For full details, please see our Terms & Conditions and Buying Guide. Contact us at [email protected].

IP Result of anti-Creatine kinase B type (IP: orb394919, 4 ug; Detection: orb394919 1:500) with mouse brain tissue lysate 4000 ug.

human brain tissue were subjected to SDS PAGE followed by western blot with orb394919 (CKB antibody) at dilution of 1:500.

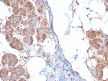
Immunohistochemistry of paraffin-embedded human colon cancer using orb394919 (CKB antibody) at dilution of 1:100.
Quick Database Links
UniProt Details
−Documents Download
Request a Document
Protocol Information
CKB Antibody (orb394919)
Participating in our Biorbyt product reviews program enables you to support fellow scientists by sharing your firsthand experience with our products.
Login to Submit a Review



















