You have no items in your shopping cart.
CIDEA Antibody
Description
Research Area
Images & Validation
−| Tested Applications | ELISA, IF, IHC-P, WB |
|---|---|
| Reactivity | Human |
| Application Notes |
Key Properties
−| Antibody Type | Primary Antibody |
|---|---|
| Host | Rabbit |
| Clonality | Polyclonal |
| Isotype | IgG |
| Immunogen | CIDE-A antibody was raised against a 18 amino acid peptide near the carboxy terminus of human CIDE-A.The immunogen is located within the last 50 amino acids of CIDE-A. |
| Target | CIDEA |
| Molecular Weight | 23 kDa |
| Purification | CIDE-A Antibody is affinity chromatography purified via peptide column. |
| Conjugation | Unconjugated |
Storage & Handling
−| Storage | Maintain refrigerated at 2-8°C for up to 2 weeks. For long term storage store at -20°C in small aliquots to prevent freeze-thaw cycles. |
|---|---|
| Form/Appearance | Liquid |
| Buffer/Preservatives | CIDE-A Antibody is supplied in PBS containing 0.02% sodium azide. |
| Concentration | 1 mg/ml |
| Expiration Date | 12 months from date of receipt. |
| Disclaimer | For research use only |
Alternative Names
−Similar Products
−CIDEA Antibody [orb1239296]
ELISA, IF, IHC-P, WB
Human, Mouse
Rabbit
Polyclonal
Unconjugated
0.1 mg, 0.02 mgCIDEA rabbit pAb Antibody [orb772123]
ELISA, WB
Human, Mouse, Rat
Polyclonal
Unconjugated
100 μl, 50 μl

Quality Guarantee
Explore bioreagents carefree to elevate your research. All our products are rigorously tested for performance. If a product does not perform as described on its datasheet, our scientific support team will provide expert troubleshooting, a prompt replacement, or a refund. For full details, please see our Terms & Conditions and Buying Guide. Contact us at [email protected].

Western blot analysis of CIDE-A in human brain tissue lysate in the absence (A) or presence (B) of peptide (orb1239982P) with CIDE-A antibody at 1:2000 dilution.

Immunofluorescence of CIDE-A in Human Brain cells with CIDE-A antibody at 20 µg/mL.

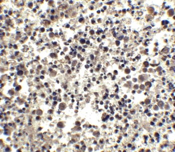
Immunohistochemistry of CIDE-A in human brain tissue with CIDE-A antibody at 5 µg/mL.
Documents Download
Request a Document
Protocol Information
CIDEA Antibody (orb1239982)
Participating in our Biorbyt product reviews program enables you to support fellow scientists by sharing your firsthand experience with our products.
Login to Submit a Review











