You have no items in your shopping cart.
You have no items in your shopping cart.
| Catalog Number | orb625485 |
|---|---|
| Category | Antibodies |
| Description | Rabbit polyclonal antibody to CCDC104 |
| Target | CFAP36 |
| Clonality | Polyclonal |
| Species/Host | Rabbit |
| Isotype | IgG |
| Conjugation | Unconjugated |
| Reactivity | Human, Mouse |
| Form/Appearance | liquid |
| Purity | ≥95% as determined by SDS-PAGE |
| Purification | Immunogen affinity purified |
| Immunogen | coiled-coil domain containing 104 |
| UniProt ID | Q96G28 |
| MW | 42 kDa |
| Tested applications | ELISA, IF, IHC, WB |
| Dilution range | WB: 1:500-1:2000; IHC: 1:20-1:200; IF: 1:20-1:200 |
| Antibody Type | Primary Antibody |
| Storage | Maintain refrigerated at 2-8°C for up to 2 weeks. For long term storage store at -20°C in small aliquots to prevent freeze-thaw cycles. |
| Research Area | Epigenetics |
| Note | For research use only |

mouse lung tissues were subjected to SDS PAGE followed by western blot with orb625485 (CCDC104 Antibody) at dilution of 1:1000.

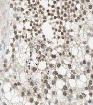
Immunohistochemistry of paraffin-embedded human testis slide using orb625485 (CCDC104 Antibody) at dilution of 1:50.
ELISA, WB | |
Mouse, Rat | |
Human | |
Rabbit | |
Polyclonal | |
Unconjugated |
IF, IHC-Fr, IHC-P | |
Porcine, Rat | |
Rabbit | |
Polyclonal | |
Unconjugated |
Participating in our Biorbyt product reviews program enables you to support fellow scientists by sharing your firsthand experience with our products.
Login to Submit a Review