You have no items in your shopping cart.
You have no items in your shopping cart.
| Catalog Number | orb1937977 |
|---|---|
| Category | Antibodies |
| Description | CCDC110 Antibody (C-term) |
| Clonality | Polyclonal |
| Species/Host | Rabbit |
| Isotype | Rabbit IgG |
| Conjugation | Unconjugated |
| Reactivity | Mouse |
| Form/Appearance | Purified polyclonal antibody supplied in PBS with 0.05% (V/V) Proclin 300. This antibody is purified through a protein A column, followed by peptide affinity purification. |
| UniProt ID | Q8TBZ0 |
| MW | 96726 Da |
| Tested applications | IHC-P, WB |
| Dilution range | WB - 1:2000 |
| Antibody Type | Primary Antibody |
| Storage | Maintain refrigerated at 2-8°C for up to 2 weeks. For long term storage store at -20°C in small aliquots to prevent freeze-thaw cycles |
| Alternative names | KMHN1 |
| Research Area | Cancer Biology |
| Note | For research use only |

CCDC110 Antibody (C-term) western blot analysis in mouse heart tissue lysates (35 ug/lane). This demonstrates the CCDC110 antibody detected the CCDC110 protein (arrow).

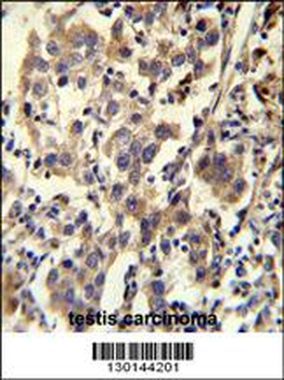
CCDC110 Antibody (C-term) immunohistochemistry analysis in formalin fixed and paraffin embedded human testis carcinoma followed by peroxidase conjugation of the secondary antibody and DAB staining. This data demonstrates the use of CCDC110 Antibody (C-term) for immunohistochemistry. Clinical relevance has not been evaluated.
Participating in our Biorbyt product reviews program enables you to support fellow scientists by sharing your firsthand experience with our products.
Login to Submit a Review