You have no items in your shopping cart.
CASP8 Antibody
Description
Research Area
Images & Validation
−| Tested Applications | ELISA, IF, IHC, IP, WB |
|---|---|
| Dilution range | WB: 1:500-1:5000; IP: 1:200-1:2000; IHC: 1:100-1:400; IF: 1:50-1:500 |
| Reactivity | Human |
Key Properties
−| Antibody Type | Primary Antibody |
|---|---|
| Host | Mouse |
| Clonality | Monoclonal |
| Isotype | IgG1 |
| Immunogen | caspase 8, apoptosis-related cysteine peptidase |
| Target | CASP8 |
| Molecular Weight | 50-55 kDa, 25-32 kDa |
| Purity | ≥95% as determined by SDS-PAGE |
| Purification | Protein A+G purified |
| Conjugation | Unconjugated |
Storage & Handling
−| Storage | Maintain refrigerated at 2-8°C for up to 2 weeks. For long term storage store at -20°C in small aliquots to prevent freeze-thaw cycles. |
|---|---|
| Form/Appearance | liquid |
| Disclaimer | For research use only |
Alternative Names
−Similar Products
−Caspase 8 Mouse Monoclonal Antibody [orb500937]
WB
Rat
Human, Mouse
Mouse
Monoclonal
Unconjugated
200 μg, 50 μl, 100 μl, 200 μlCaspase 8/CASP8 Antibody [orb1728223]
FC, ICC, IHC, IHC-Fr, WB
Human, Mouse, Rat
Rabbit
Polyclonal
Unconjugated
100 μgCaspase 8 Rabbit Polyclonal Antibody [orb10241]
FC, IF, IHC-Fr, IHC-P, WB
Bovine, Canine, Equine, Mouse, Porcine
Human, Rat
Rabbit
Polyclonal
Unconjugated
200 μl, 50 μl, 100 μlCleaved-Caspase-8 (D384) Polyclonal Antibody [orb1416163]
IF, IHC-P, WB
Human
Rabbit
Polyclonal
Unconjugated
100 μlCaspase-8 Polyclonal Antibody [orb1414446]
IF, IHC-P, WB
Human, Mouse, Rat
Rabbit
Polyclonal
Unconjugated
100 μl

Quality Guarantee
Explore bioreagents carefree to elevate your research. All our products are rigorously tested for performance. If a product does not perform as described on its datasheet, our scientific support team will provide expert troubleshooting, a prompt replacement, or a refund. For full details, please see our Terms & Conditions and Buying Guide. Contact us at [email protected].

Immunofluorescent analysis of (-20℃ Ethanol) fixed HeLa cells using orb625440 (Caspase 8 Antibody) at dilution of 1:100 and Alexa Fluor 488-conjugated AffiniPure Goat Anti-Mouse IgG (H+L).

IP Result of anti-Caspase 8 (IP: orb625440, 5 ug; Detection: orb625440 1:500) with HepG2 cells lysate 2400 ug.

HepG2 cells were subjected to SDS PAGE followed by western blot with orb625440 (CASP8 antibody) at dilution of 1:1000.

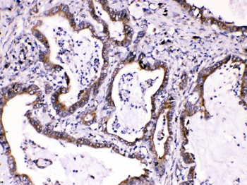
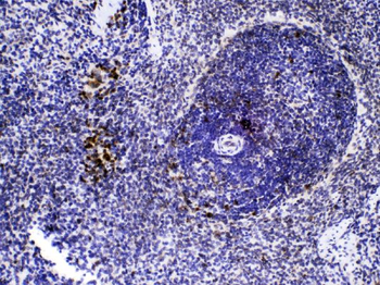
Immunohistochemistry of paraffin-embedded human liver cancer tissue slide using orb625440 (Caspase 8 Antibody) at dilution of 1:200 heat mediated antigen retrieved with Tris-EDTA buffer (pH9).
Quick Database Links
UniProt Details
−Documents Download
Request a Document
Protocol Information
CASP8 Antibody (orb625440)
Participating in our Biorbyt product reviews program enables you to support fellow scientists by sharing your firsthand experience with our products.
Login to Submit a Review
































