You have no items in your shopping cart.
BLK Antibody
Description
Research Area
Images & Validation
−| Tested Applications | ELISA, IHC, IP, WB |
|---|---|
| Dilution Range | WB: 1:500-1:2000; IP: 1:500-1:2000; IHC: 1:20-1:200 |
| Reactivity | Human, Mouse, Rat |
Key Properties
−| Antibody Type | Primary Antibody |
|---|---|
| Host | Rabbit |
| Clonality | Polyclonal |
| Isotype | IgG |
| Immunogen | B lymphoid tyrosine kinase |
| Target | BLK |
| Molecular Weight | 58 kDa |
| Purity | ≥95% as determined by SDS-PAGE |
| Purification | Immunogen affinity purified |
| Conjugation | Unconjugated |
Storage & Handling
−| Storage | Maintain refrigerated at 2-8°C for up to 2 weeks. For long term storage store at -20°C in small aliquots to prevent freeze-thaw cycles. |
|---|---|
| Form/Appearance | liquid |
| Expiration Date | 12 months from date of receipt. |
| Disclaimer | For research use only |
Similar Products
−Human B-Lymphoid Tyrosine Kinase (BLK) ELISA Kit [orb778363]
Human
0.16-10 ng/mL
0.069 ng/mL
96 T, 48 T

Quality Guarantee
Explore bioreagents carefree to elevate your research. All our products are rigorously tested for performance. If a product does not perform as described on its datasheet, our scientific support team will provide expert troubleshooting, a prompt replacement, or a refund. For full details, please see our Terms & Conditions and Buying Guide. Contact us at [email protected].

IP Result of anti-BLK (IP: orb625139, 4 ug; Detection: orb625139 1:500) with SH-SY5Y cells lysate 1600 ug.

SH-SY5Y cells were subjected to SDS PAGE followed by western blot with orb625139 (BLK antibody) at dilution of 1:500.

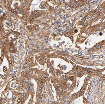
Immunohistochemistry of paraffin-embedded human pancreas cancer using orb625139 (BLK antibody) at dilution of 1:10.
Quick Database Links
UniProt Details
−Documents Download
Request a Document
Protocol Information
BLK Antibody (orb625139)
Participating in our Biorbyt product reviews program enables you to support fellow scientists by sharing your firsthand experience with our products.
Login to Submit a Review












