You have no items in your shopping cart.
BCKDHB Antibody
Description
Research Area
Images & Validation
−| Tested Applications | FC, IF, IHC-P, WB |
|---|---|
| Reactivity | Human |
| Application Notes |
Key Properties
−| Antibody Type | Primary Antibody |
|---|---|
| Host | Rabbit |
| Clonality | Polyclonal |
| Isotype | Rabbit Ig |
| Immunogen | This BCKDHB antibody is generated from rabbits immunized with a KLH conjugated synthetic peptide between 41-70 amino acids from the N-terminal region of human BCKDHB. |
| Target | BCKDHB |
| Molecular Weight | 43 kDa |
| Purification | This antibody is purified through a protein A column, followed by peptide affinity purification. |
| Conjugation | Unconjugated |
Storage & Handling
−| Storage | Maintain refrigerated at 2-8°C for up to 2 weeks. For long term storage store at -20°C in small aliquots to prevent freeze-thaw cycles. |
|---|---|
| Form/Appearance | Liquid |
| Buffer/Preservatives | Supplied in PBS with 0.09% (W/V) sodium azide. |
| Concentration | batch dependent |
| Expiration Date | 12 months from date of receipt. |
| Disclaimer | For research use only |
Alternative Names
−Similar Products
−BCKDHB Antibody (N-term) [orb1938806]
FC, IF, IHC-P, WB
Human, Rat
Rabbit
Polyclonal
Unconjugated
50 μl, 100 μlMouse 2-oxoisovalerate dehydrogenase Subunit Beta, Mitochondrial (BCKDHB) ELISA Kit [orb1146807]
Mouse
31.25-2000 pg/mL
12.7 pg/mL
96 T, 48 TBCKDHB Rabbit Polyclonal Antibody [orb584052]
WB
Bovine, Canine, Equine, Porcine, Rabbit, Rat
Human
Rabbit
Polyclonal
Unconjugated
100 μlBCKDHB Rabbit Polyclonal Antibody [orb258591]
ELISA, IHC, WB
Mouse, Rat
Human
Rabbit
Polyclonal
Unconjugated
100 μgBCKDHB Rabbit Polyclonal Antibody [orb625079]
ELISA, IHC, WB
Human, Mouse, Rat
Rabbit
Polyclonal
Unconjugated
50 μg, 100 μg

Quality Guarantee
Explore bioreagents carefree to elevate your research. All our products are rigorously tested for performance. If a product does not perform as described on its datasheet, our scientific support team will provide expert troubleshooting, a prompt replacement, or a refund. For full details, please see our Terms & Conditions and Buying Guide. Contact us at [email protected].

Western blot analysis in Hela cell line lysates (35 ug/lane).

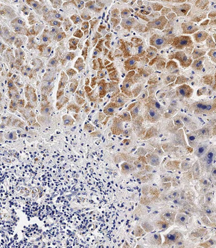
BCKDHB Antibody immunohistochemistry analysis in formalin fixed and paraffin embedded human hepatocarcinoma followed by peroxidase conjugation of the secondary antibody and DAB staining.

Western blot analysis of BCKDHB using rabbit polyclonal BCKDHB Antibody using 293 cell lysates (2 ug/lane) either nontransfected (Lane 1) or transiently transfected (Lane 2) with the BCKDHB gene.

Flow cytometric analysis of Hela cells (right histogram) compared to a negative control cell (left histogram). FITC-conjugated goat-anti-rabbit secondary antibodies were used for the analysis.

Confocal immunofluorescent analysis of BCKDHB Antibody with Hela cell followed by Alexa Fluor 488-conjugated goat anti-rabbit lgG (green). DAPI was used to stain the cell nuclear (blue).
Documents Download
Request a Document
Protocol Information
BCKDHB Antibody (orb1270678)
Participating in our Biorbyt product reviews program enables you to support fellow scientists by sharing your firsthand experience with our products.
Login to Submit a Review











