You have no items in your shopping cart.
BCAS4 Antibody
Description
Research Area
Images & Validation
−| Tested Applications | ELISA, IF, IHC-P, WB |
|---|---|
| Reactivity | Human, Mouse |
| Application Notes |
Key Properties
−| Antibody Type | Primary Antibody |
|---|---|
| Host | Rabbit |
| Clonality | Polyclonal |
| Isotype | IgG |
| Immunogen | BCAS4 antibody was raised against a 14 amino acid synthetic peptide near the amino terminus of human BCAS4.The immunogen is located within the first 50 amino acids of BCAS4. |
| Target | BCAS4 |
| Purification | BCAS4 Antibody is affinity chromatography purified via peptide column. |
| Conjugation | Unconjugated |
Storage & Handling
−| Storage | Maintain refrigerated at 2-8°C for up to 2 weeks. For long term storage store at -20°C in small aliquots to prevent freeze-thaw cycles. |
|---|---|
| Form/Appearance | Liquid |
| Buffer/Preservatives | BCAS4 Antibody is supplied in PBS containing 0.02% sodium azide. |
| Concentration | 1 mg/mL |
| Disclaimer | For research use only |
Alternative Names
−Similar Products
−Human Breast Carcinoma Amplified Sequence 4 (BCAS4) ELISA Kit [orb779255]
Human
0.16-10 ng/mL
0.053 ng/mL
96 T, 48 TBCAS4 rabbit pAb Antibody [orb769613]
ELISA, IF, IHC, WB
Human, Mouse, Rat
Polyclonal
Unconjugated
100 μl, 50 μl

Quality Guarantee
Explore bioreagents carefree to elevate your research. All our products are rigorously tested for performance. If a product does not perform as described on its datasheet, our scientific support team will provide expert troubleshooting, a prompt replacement, or a refund. For full details, please see our Terms & Conditions and Buying Guide. Contact us at [email protected].

Western blot analysis of BCAS4 in 3T3 cell lysate with BCAS4 antibody at (A) 1 and (B) 2 µg/mL.

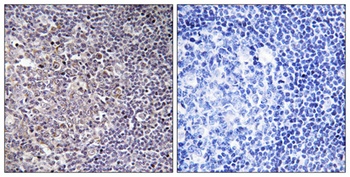
Immunohistochemistry of BCAS4 in human breast carcinoma with BCAS4 antibody at 5 µg/mL.

Immunofluorescence of BCAS4 in human breast carcinoma tissue with BCAS4 antibody at 20 µg/mL.
Documents Download
Request a Document
Protocol Information
BCAS4 Antibody (orb1240125)
Participating in our Biorbyt product reviews program enables you to support fellow scientists by sharing your firsthand experience with our products.
Login to Submit a Review








