You have no items in your shopping cart.
Description
Research Area
Images & Validation
−| Tested Applications | ELISA, IHC, WB |
|---|---|
| Dilution Range | WB: 1:500-1:2000, IHC-P: 1:100-1:300, ELISA: 1:20000 |
| Reactivity | Human, Mouse |
Key Properties
−| Host | Rabbit |
|---|---|
| Clonality | Polyclonal |
| Isotype | IgG |
| Immunogen | Synthesized peptide derived from the Internal region of Human V-ATPase H. |
| Target | ATP6V1H |
| Purification | The antibody was affinity-purified from rabbit antiserum by affinity-chromatography using epitope-specific immunogen. |
| Conjugation | Unconjugated |
Storage & Handling
−| Storage | Maintain refrigerated at 2-8°C for up to 2 weeks. For long term storage store at -20°C in small aliquots to prevent freeze-thaw cycles. |
|---|---|
| Form/Appearance | Liquid |
| Buffer/Preservatives | Liquid in PBS containing 50% glycerol, 0.5% rAlbumin and 0.02% sodium azide. |
| Expiration Date | 12 months from date of receipt. |
| Disclaimer | For research use only |
Alternative Names
−Similar Products
−ATP6V1H Rabbit Polyclonal Antibody [orb556715]
ICC, IHC, IHC-P, WB
Human, Mouse, Rat, Zebrafish
Rabbit
Polyclonal
Unconjugated
100 μlRabbit ATP6V1H Antibody [orb1523238]
IP, WB
Bovine, Porcine
Human, Mouse
Rabbit
Polyclonal
Unconjugated
100 μl, 10 μlATP6V1H Rabbit Polyclonal Antibody [orb215183]
IHC, WB
Bovine, Human, Monkey, Mouse, Porcine, Rat, Zebrafish
Rabbit
Polyclonal
Unconjugated
30 μl, 100 μl, 200 μl, 50 μlATP6V1H Antibody (C-term) [orb1430520]
WB
Porcine
Human, Mouse
Rabbit
Polyclonal
Unconjugated
50 μl, 100 μl

Quality Guarantee
Explore bioreagents carefree to elevate your research. All our products are rigorously tested for performance. If a product does not perform as described on its datasheet, our scientific support team will provide expert troubleshooting, a prompt replacement, or a refund. For full details, please see our Terms & Conditions and Buying Guide. Contact us at [email protected].

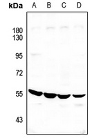
Western blot analysis of COLO205 cells using ATP6V1H antibody
Quick Database Links
UniProt Details
−Documents Download
Request a Document
Protocol Information
ATP6V1H Antibody (orb671809)
Participating in our Biorbyt product reviews program enables you to support fellow scientists by sharing your firsthand experience with our products.
Login to Submit a Review








