You have no items in your shopping cart.
ATP2A3 Antibody
Description
Images & Validation
−| Tested Applications | ELISA, IHC, IP, WB |
|---|---|
| Dilution range | WB: 1:500-1:2000; IP: 1:200-1:1000; IHC: 1:20-1:200 |
| Reactivity | Human, Mouse, Rat |
Key Properties
−| Antibody Type | Primary Antibody |
|---|---|
| Host | Rabbit |
| Clonality | Polyclonal |
| Isotype | IgG |
| Immunogen | ATPase, Ca++ transporting, ubiquitous |
| Target | ATP2A3 |
| Purity | ≥95% as determined by SDS-PAGE |
| Purification | Immunogen affinity purified |
Storage & Handling
−| Storage | Maintain refrigerated at 2-8°C for up to 2 weeks. For long term storage store at -20°C in small aliquots to prevent freeze-thaw cycles. |
|---|---|
| Form/Appearance | liquid |
| Disclaimer | For research use only |
Similar Products
−SERCA3 ATPase/ATP2A3 Antibody [orb234282]
IHC, WB
Human, Mouse, Rat
Rabbit
Polyclonal
Unconjugated
100 μgATP2A3 Antibody (N-Term) [orb1926146]
IHC-P, WB
Human, Mouse, Rat
Rabbit
Polyclonal
Unconjugated
50 μl, 100 μlATP2A3 Rabbit Polyclonal Antibody [orb579821]
WB
Bovine, Canine, Equine, Guinea pig, Rabbit, Rat
Human
Rabbit
Polyclonal
Unconjugated
100 μl

Quality Guarantee
Explore bioreagents carefree to elevate your research. All our products are rigorously tested for performance. If a product does not perform as described on its datasheet, our scientific support team will provide expert troubleshooting, a prompt replacement, or a refund. For full details, please see our Terms & Conditions and Buying Guide. Contact us at [email protected].

mouse skeletal muscle tissue were subjected to SDS PAGE followed by western blot with orb631066 (ATP2A3 antibody) at dilution of 1:500.

IP Result of anti-SERCA3 (IP: orb631066, 4 ug; Detection: orb631066 1:500) with mouse skeletal muscle tissue lysate 3600 ug.

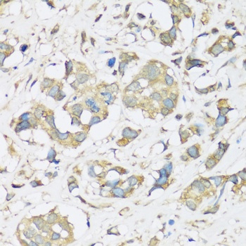
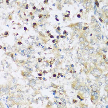
Immunohistochemistry of paraffin-embedded human pancreas cancer using orb631066 (ATP2A3 antibody) at dilution of 1:100.
Quick Database Links
UniProt Details
−Documents Download
Request a Document
Protocol Information
ATP2A3 Antibody (orb631066)
Participating in our Biorbyt product reviews program enables you to support fellow scientists by sharing your firsthand experience with our products.
Login to Submit a Review











