You have no items in your shopping cart.
ASRGL1 Antibody
Description
Research Area
Images & Validation
−| Tested Applications | FC, IF, IHC, WB |
|---|---|
| Reactivity | Human |
| Application Notes |
Key Properties
−| Antibody Type | Primary Antibody |
|---|---|
| Host | Mouse |
| Clonality | Monoclonal |
| Isotype | IgG1 |
| Clone No. | CRASH/1289 |
| Immunogen | A human partial recombinant protein was used as the immunogen for this ASRGL1 antibody. |
| Target | ASRGL1 |
| Purification | Protein G affinity chromatography |
| Conjugation | Unconjugated |
Storage & Handling
−| Storage | Maintain refrigerated at 2-8°C for up to 2 weeks. For long term storage store at -20°C in small aliquots to prevent freeze-thaw cycles. |
|---|---|
| Form/Appearance | Liquid |
| Buffer/Preservatives | PBS with 0.1 mg/ml rAlbumin and 0.05% sodium azide |
| Concentration | 0.2 mg/mL |
| Expiration Date | 12 months from date of receipt. |
| Disclaimer | For research use only |
Alternative Names
−Similar Products
−ASRGL1 Antibody [orb388802]
IHC
Human
Mouse
Monoclonal
Unconjugated
20 μg, 100 μg, 100 μg (without BSA and Azide)

Quality Guarantee
Explore bioreagents carefree to elevate your research. All our products are rigorously tested for performance. If a product does not perform as described on its datasheet, our scientific support team will provide expert troubleshooting, a prompt replacement, or a refund. For full details, please see our Terms & Conditions and Buying Guide. Contact us at [email protected].

IHC testing of FFPE human endometrium with ASRGL1 antibody (clone CRASH/1289). Required HIER: steam sections in 10mM Tris with 1mM EDTA, pH9, for 10-20 min.

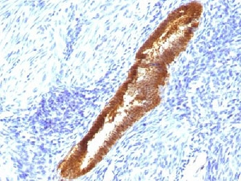
IHC testing of FFPE human fallopian tube with ASRGL1 antibody (clone CRASH/1289). Required HIER: steam sections in 10mM Tris with 1mM EDTA, pH9, for 10-20 min.

IHC testing of FFPE human uterus with ASRGL1 antibody (clone CRASH/1289). Required HIER: steam sections in 10mM Tris with 1mM EDTA, pH9, for 10-20 min.

SDS-PAGE Analysis of Purified, BSA-Free ASRGL1 Antibody (clone CRASH/1289). Confirmation of Integrity and Purity of the Antibody.
Quick Database Links
UniProt Details
−Documents Download
Request a Document
Protocol Information
ASRGL1 Antibody (orb1252337)
Participating in our Biorbyt product reviews program enables you to support fellow scientists by sharing your firsthand experience with our products.
Login to Submit a Review












