You have no items in your shopping cart.
ARRB2 Antibody
Description
Research Area
Images & Validation
−| Tested Applications | ELISA, IF, IHC, IP, WB |
|---|---|
| Dilution Range | WB: 1:1000-1:6000; IP: 1:500-1:3000; IHC: 1:50-1:500; IF: 1:50-1:500 |
| Reactivity | Human, Mouse |
Key Properties
−| Antibody Type | Primary Antibody |
|---|---|
| Host | Rabbit |
| Clonality | Polyclonal |
| Isotype | IgG |
| Immunogen | arrestin, beta 2 |
| Target | ARRB2 |
| Molecular Weight | 50 kDa |
| Purity | ≥95% as determined by SDS-PAGE |
| Purification | Immunogen affinity purified |
| Conjugation | Unconjugated |
Storage & Handling
−| Storage | Maintain refrigerated at 2-8°C for up to 2 weeks. For long term storage store at -20°C in small aliquots to prevent freeze-thaw cycles. |
|---|---|
| Form/Appearance | liquid |
| Expiration Date | 12 months from date of receipt. |
| Disclaimer | For research use only |
Similar Products
−Beta arrestin 2 Rabbit Polyclonal Antibody [orb10139]
IF, IHC-Fr, IHC-P, WB
Bovine, Canine, Equine, Gallus, Guinea pig, Porcine, Rabbit
Human, Mouse, Rat
Rabbit
Polyclonal
Unconjugated
100 μl, 200 μl, 50 μlArrestin beta 2 Antibody [orb18990]
ELISA, FC, IF, WB
Mouse, Rat
Human
Goat
Polyclonal
Unconjugated
100 μg

Quality Guarantee
Explore bioreagents carefree to elevate your research. All our products are rigorously tested for performance. If a product does not perform as described on its datasheet, our scientific support team will provide expert troubleshooting, a prompt replacement, or a refund. For full details, please see our Terms & Conditions and Buying Guide. Contact us at [email protected].

IP Result of anti-Beta Arrestin 2 (IP: orb625115, 4 ug; Detection: orb625115 1:1000) with RAW 264.7 cells lysate 4000 ug.

Various lysates were subjected to SDS PAGE followed by western blot with orb625115 (Beta Arrestin 2 antibody) at dilution of 1:1000.

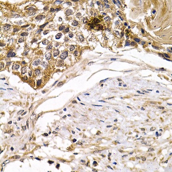
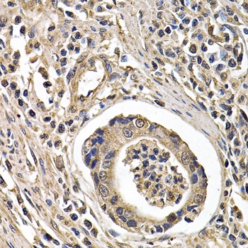
Immunohistochemistry of paraffin-embedded human tonsil tissue slide using orb625115 (Beta Arrestin 2 Antibody) at dilution of 1:200.
Quick Database Links
UniProt Details
−Documents Download
Request a Document
Protocol Information
ARRB2 Antibody (orb625115)
Participating in our Biorbyt product reviews program enables you to support fellow scientists by sharing your firsthand experience with our products.
Login to Submit a Review




















