You have no items in your shopping cart.
ARAP3 Rabbit Polyclonal Antibody
SKU: orb624812
Description
Research Area
Epigenetics
Images & Validation
−Item 1 of 1
| Tested Applications | ELISA, IHC |
|---|---|
| Dilution Range | IHC: 1:20-1:200 |
| Reactivity | Human |
Key Properties
−| Antibody Type | Primary Antibody |
|---|---|
| Host | Rabbit |
| Clonality | Polyclonal |
| Isotype | IgG |
| Immunogen | ArfGAP with RhoGAP domain, ankyrin repeat and PH domain 3 |
| Target | ARAP3 |
| Molecular Weight | 45 kDa |
| Purity | ≥95% as determined by SDS-PAGE |
| Purification | Immunogen affinity purified |
| Conjugation | Unconjugated |
Storage & Handling
−| Storage | Maintain refrigerated at 2-8°C for up to 2 weeks. For long term storage store at -20°C in small aliquots to prevent freeze-thaw cycles. |
|---|---|
| Form/Appearance | liquid |
| Expiration Date | 12 months from date of receipt. |
| Disclaimer | For research use only |
Alternative Names
−CENTD3
Similar Products
−ARAP3 Rabbit Polyclonal Antibody [orb78454]
ELISA, IHC, WB
Mouse, Rat
Human
Rabbit
Polyclonal
Unconjugated
100 μgARAP3 Rabbit Polyclonal Antibody [orb3070124]
WB
Human, Mouse
Rabbit
Polyclonal
Unconjugated
200 μl, 100 μl, 50 μl, 30 μl

Quality Guarantee
Explore bioreagents carefree to elevate your research. All our products are rigorously tested for performance. If a product does not perform as described on its datasheet, our scientific support team will provide expert troubleshooting, a prompt replacement, or a refund. For full details, please see our Terms & Conditions and Buying Guide. Contact us at [email protected].

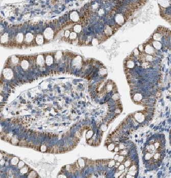
Immunohistochemistry of paraffin-embedded human colon tissue slide using orb624812 (ARAP3 Antibody) at dilution of 1:50.
Quick Database Links
Gene Symbol
ARAP3
UniProt
UniProt Details
− No UniProt data available
Documents Download
Datasheet
Product Information
Request a Document
Protocol Information
IHC
Immunohistochemistry
ELISA
Enzyme-linked Immunosorbent Assay (EIA)
ARAP3 Rabbit Polyclonal Antibody (orb624812)
Based on 0 reviews
Participating in our Biorbyt product reviews program enables you to support fellow scientists by sharing your firsthand experience with our products.
Login to Submit a Review

