You have no items in your shopping cart.
Description
Research Area
Images & Validation
−| Tested Applications | IF, IHC, WB |
|---|---|
| Dilution Range | WB: 1-500-1-1000, IHC-P: 1-100-1-200, IF/ICC: 1-100-1-500, IP: 1-10-1-100 |
| Reactivity | Human, Mouse, Rat |
Key Properties
−| Antibody Type | Primary Antibody |
|---|---|
| Host | Rabbit |
| Clonality | Polyclonal |
| Immunogen | KLH-conjugated synthetic peptide encompassing a sequence within the center region of human RRAD. The exact sequence is proprietary. |
| Target | RRAD |
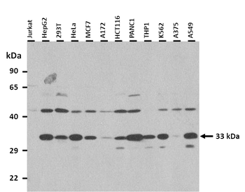
| Molecular Weight | 33 kDa |
| Purification | The antibody was purified by immunogen affinity chromatography. |
| Conjugation | Unconjugated |
Storage & Handling
−| Storage | Maintain refrigerated at 2-8°C for up to 2 weeks. For long term storage store at -20°C in small aliquots to prevent freeze-thaw cycles. |
|---|---|
| Form/Appearance | Liquid |
| Buffer/Preservatives | 0.42% Potassium phosphate, 0.87% Sodium chloride, pH 7.3, 30% glycerol, and 0.01% sodium azide. |
| Expiration Date | 12 months from date of receipt. |
| Disclaimer | For research use only |
Alternative Names
−Similar Products
−Rad GTPase rabbit pAb Antibody [orb766177]
ELISA, IF, IHC, WB
Human, Mouse, Rat
Polyclonal
Unconjugated
100 μl, 50 μlRRAD Rabbit Polyclonal Antibody [orb583220]
WB
Bovine, Canine, Guinea pig, Mouse, Rabbit, Rat
Human
Rabbit
Polyclonal
Unconjugated
100 μlRRAD Rabbit Polyclonal Antibody [orb583221]
WB
Bovine, Canine, Equine, Guinea pig, Mouse, Rabbit, Rat, Zebrafish
Human
Rabbit
Polyclonal
Unconjugated
100 μl

Quality Guarantee
Explore bioreagents carefree to elevate your research. All our products are rigorously tested for performance. If a product does not perform as described on its datasheet, our scientific support team will provide expert troubleshooting, a prompt replacement, or a refund. For full details, please see our Terms & Conditions and Buying Guide. Contact us at [email protected].

Immunofluorescent analysis of RRAD staining in HepG2 cells. Formalin-fixed cells were permeabilized with 0.1% Triton X-100 in TBS for 5-10 minutes and blocked with 3% BSA-PBS for 30 minutes at room temperature. Cells were probed with the primary antibody in 3% BSA-PBS and incubated overnight at 4 °C in a humidified chamber. Cells were washed with PBST and incubated with a DyLight 594-conjugated secondary antibody (red) in PBS at room temperature in the dark. DAPI was used to stain the cell nuclei (blue).

Immunohistochemical analysis of paraffin-embedded mouse heart using RRAD Rabbit Polyclonal Antibody orb214547 with dilution at 1:100.

Immunohistochemical analysis of paraffin-embedded rat liver using RRAD Rabbit Polyclonal Antibody orb214547 with dilution at 1:100.

Immunohistochemical analysis of paraffin-embedded rat lung using RRAD Rabbit Polyclonal Antibody orb214547 with dilution at 1:100.

Immunohistochemical analysis of paraffin-embedded rat lung using RRAD Rabbit Polyclonal Antibody orb214547 with dilution at 1:100.

Western blot analysis of rat heart (1), rat liver (2), mouse heart (3), mouse liver (4) using RRAD Rabbit Polyclonal Antibody orb214547 with dilution at 1:1000.
Documents Download
Request a Document
Protocol Information
RRAD Rabbit Polyclonal Antibody (orb214547)
Participating in our Biorbyt product reviews program enables you to support fellow scientists by sharing your firsthand experience with our products.
Login to Submit a Review










