You have no items in your shopping cart.
Description
Research Area
Immunology & Inflammation
Images & Validation
−Item 1 of 1
| Tested Applications | WB |
|---|---|
| Reactivity | Human |
Key Properties
−| Host | Rabbit |
|---|---|
| Clonality | Polyclonal |
| Isotype | IgG |
| Immunogen | Cub Domain/EGF-like domain |
| Target | MASP-2 |
| Purification | Affinity purified |
| Conjugation | Unconjugated |
Storage & Handling
−| Storage | Maintain refrigerated at 2-8°C for up to 2 weeks. For long term storage store at -20°C in small aliquots to prevent freeze-thaw cycles. |
|---|---|
| Buffer/Preservatives | Sodium Chloride 500 mM, Sodium Phosphate 10 mM, Potassium Phosphate 1.8 mM, Potassium Chloride 2.7 mM, Glycerol 50% (v/v) |
| Concentration | 1mg/ml |
| Expiration Date | 12 months from date of receipt. |
| Disclaimer | For research use only |
Alternative Names
−Mannan-binding lectin serine protease 2 EC 3.4.21.104, MBL-associated serine protease 2, Mannose-binding protein-associated serine protease 2, MASP-2, [Cleaved into: Mannan-binding lectin serine protease 2 A chain; Mannan-binding lectin serine protease 2 B chain
Similar Products
−MASP-2 rabbit pAb Antibody [orb767423]
ELISA, WB
Human, Mouse, Rat
Polyclonal
Unconjugated
100 μl, 50 μl

Quality Guarantee
Explore bioreagents carefree to elevate your research. All our products are rigorously tested for performance. If a product does not perform as described on its datasheet, our scientific support team will provide expert troubleshooting, a prompt replacement, or a refund. For full details, please see our Terms & Conditions and Buying Guide. Contact us at [email protected].

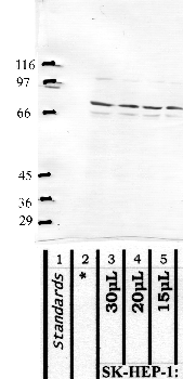
WB analysis of orb2569071.
Quick Database Links
Gene Symbol
MASP-2
UniProt
UniProt Details
− No UniProt data available
Documents Download
Datasheet
Product Information
Request a Document
Anti-MASP2 Rabbit Polyclonal Antibody (orb2569071)
Based on 0 reviews
Participating in our Biorbyt product reviews program enables you to support fellow scientists by sharing your firsthand experience with our products.
Login to Submit a Review





