You have no items in your shopping cart.
You have no items in your shopping cart.
| Catalog Number | orb1880701 |
|---|---|
| Category | Antibodies |
| Description | The FAM109A Antibody is suitable for IHC, WB. It is a Polyclonal, Unconjugated antibody which raised against KLH-conjugated synthetic peptide encompassing a sequence within the N-terminal region of human FAM109A. The exact sequence is proprietary. Purification: The antibody was purified by immunogen affinity chromatography. |
| Clonality | Polyclonal |
| Species/Host | Rabbit |
| Conjugation | Unconjugated |
| Reactivity | Human |
| Form/Appearance | Liquid in 0.42% Potassium phosphate, 0.87% Sodium chloride, pH 7.3, 30% glycerol, and 0.01% sodium azide. |
| Purification | The antibody was purified by immunogen affinity chromatography. |
| Immunogen | KLH-conjugated synthetic peptide encompassing a sequence within the N-terminal region of human FAM109A. The exact sequence is proprietary. |
| UniProt ID | Q8N4B1 |
| Tested applications | IHC, WB |
| Dilution range | WB (1/500 - 1/1000), IH (1/50 - 1/200) |
| Antibody Type | Primary Antibody |
| Storage | Maintain refrigerated at 2-8°C for up to 2 weeks. For long term storage store at -20°C in small aliquots to prevent freeze-thaw cycles. |
| Alternative names | Sesquipedalian-1; Ses1; 27 kDa inositol polyphosph Read more... |
| Note | For research use only |
| Entrez | 144717 |

Western blot analysis of FAM109A expression in MDAMB435 (A) whole cell lysates. (Predicted band size: 27 kD; Observed band size: 27 kD)

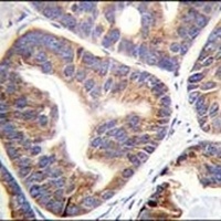
Immunohistochemical analysis of FAM109A staining in human prostata carcinoma formalin fixed paraffin embedded tissue section. The section was pre-treated using heat mediated antigen retrieval with sodium citrate buffer (pH 6.0). The section was then incubated with the antibody at room temperature and detected using an HRP conjugated compact polymer system. DAB was used as the chromogen. The section was then counterstained with haematoxylin and mounted with DPX.
WB | |
Bovine, Canine, Porcine | |
Human | |
Rabbit | |
Polyclonal | |
Unconjugated |
WB | |
Bovine, Canine, Human, Porcine | |
Rabbit | |
Polyclonal | |
HRP |
WB | |
Bovine, Canine, Human, Porcine | |
Rabbit | |
Polyclonal | |
FITC |
WB | |
Bovine, Canine, Human, Porcine | |
Rabbit | |
Polyclonal | |
Biotin |
Participating in our Biorbyt product reviews program enables you to support fellow scientists by sharing your firsthand experience with our products.
Login to Submit a Review