You have no items in your shopping cart.
Description
Images & Validation
−| Tested Applications | IHC, WB |
|---|---|
| Dilution range | WB: 1-500-1-1000, IHC-P: 1-100-1-200 |
| Reactivity | Bovine, Canine, Human, Monkey, Mouse, Porcine, Rat |
Key Properties
−| Antibody Type | Primary Antibody |
|---|---|
| Host | Rabbit |
| Clonality | Polyclonal |
| Immunogen | KLH-conjugated synthetic peptide encompassing a sequence within the center region of human Connexin 32. The exact sequence is proprietary. |
| Purification | The antibody was purified by immunogen affinity chromatography. |
| Conjugation | Unconjugated |
Storage & Handling
−| Storage | Maintain refrigerated at 2-8°C for up to 2 weeks. For long term storage store at -20°C in small aliquots to prevent freeze-thaw cycles. |
|---|---|
| Form/Appearance | Liquid in 0.42% Potassium phosphate, 0.87% Sodium chloride, pH 7.3, 30% glycerol, and 0.01% sodium azide. |
| Disclaimer | For research use only |
Alternative Names
−Similar Products
−Human Gap Junction Protein Beta 1 (GJb1) ELISA Kit [orb777840]
Human
0.32-20 ng/mL
0.113 ng/mL
48 T, 96 TConnexin 32 (Gap Junction Protein) Antibody [orb388167]
IHC
Human, Mouse, Rat
Mouse
Monoclonal
Unconjugated
100 μg (without BSA and Azide), 100 μg, 20 μgConnexin-32 rabbit pAb [orb768411]
ELISA, IHC-P, WB
Human, Mouse, Rat
Polyclonal
Unconjugated
50 μl, 100 μl

Quality Guarantee
Explore bioreagents carefree to elevate your research. All our products are rigorously tested for performance. If a product does not perform as described on its datasheet, our scientific support team will provide expert troubleshooting, a prompt replacement, or a refund. For full details, please see our Terms & Conditions and Buying Guide. Contact us at [email protected].

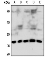
Western blot analysis of Connexin 32 expression in LOVO (A), mouse brain (B), mouse lung (C), mouse kidney (D), rat kidney (E) whole cell lysates. (Predicted band size: 32 kD; Observed band size: 28 kD)

Immunohistochemical analysis of Connexin 32 staining in human liver cancer formalin fixed paraffin embedded tissue section. The section was pre-treated using heat mediated antigen retrieval with sodium citrate buffer (pH 6.0). The section was then incubated with the antibody at room temperature and detected using an HRP conjugated compact polymer system. AEC was used as the chromogen. The section was then counterstained with haematoxylin and mounted with DPX.
Documents Download
Request a Document
Protocol Information
Connexin 32 Antibody (orb213979)
Participating in our Biorbyt product reviews program enables you to support fellow scientists by sharing your firsthand experience with our products.
Login to Submit a Review









