You have no items in your shopping cart.
Anti-CD35 (complement receptor 1) [8C12]
Description
Research Area
Images & Validation
−| Tested Applications | FC, IHC-Fr, IP, WB |
|---|---|
| Reactivity | Mouse |
Key Properties
−| Host | Rat |
|---|---|
| Clonality | Monoclonal |
| Isotype | Rat IgG |
| Clone No. | 8C12 |
| Immunogen | Purified murine CR1 protein. |
| Target | CD35 (complement receptor 1) |
| Purity | Purified |
| Conjugation | Unconjugated |
Storage & Handling
−| Storage | Maintain refrigerated at 2-8°C for up to 2 weeks. For long term storage store at -20°C in small aliquots to prevent freeze-thaw cycles. |
|---|---|
| Buffer/Preservatives | PBS with 0.02% Proclin 300. |
| Concentration | 1 mg/ml |
| Expiration Date | 12 months from date of receipt. |
| Disclaimer | For research use only |
Alternative Names
−Similar Products
−Anti-CD35 (complement receptor 1) [8C12] [orb348929]
FC, IHC-Fr, IP, WB
Mouse
Rat
Monoclonal
Unconjugated
0.2 mg

Quality Guarantee
Explore bioreagents carefree to elevate your research. All our products are rigorously tested for performance. If a product does not perform as described on its datasheet, our scientific support team will provide expert troubleshooting, a prompt replacement, or a refund. For full details, please see our Terms & Conditions and Buying Guide. Contact us at [email protected].
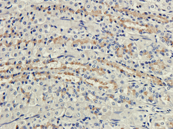
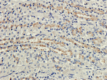
![Anti-CD35 (complement receptor 1) [8C12]](/images/pub/media/catalog/product/NewWebsite/35/orb348915_1.png)
Immunohistochemical staining of rat stomach using anti-Complement receptor 1 antibody orb348915 Formalin fixed rat stomach slices were were stained with orb348915 at 3 µg/ml.
Quick Database Links
UniProt Details
−Documents Download
Request a Document
Protocol Information
Filter by Species
Kinoshita, T. et al. Monoclonal antibodies to mouse complement receptor type 1 (CR1). Their use in a distribution study showing that mouse erythrocytes and platelets are CR1-negative J Immunol, 140, 3066-3072 (1988)
Reactivity
Anti-CD35 (complement receptor 1) [8C12] (orb348915)
Participating in our Biorbyt product reviews program enables you to support fellow scientists by sharing your firsthand experience with our products.
Login to Submit a Review![Anti-CD35 (complement receptor 1) [8C12]](/images/pub/media/catalog/product/NewWebsite/35/orb348929_1.png)