You have no items in your shopping cart.
Beclin 1 BECN1 Monoclonal Antibody
Description
Images & Validation
−| Tested Applications | ICC, IF, IHC, WB |
|---|---|
| Reactivity | Human, Mouse, Rat |
| Application Notes |
Key Properties
−| Antibody Type | Primary Antibody |
|---|---|
| Host | Rabbit |
| Clonality | Monoclonal |
| Isotype | Rabbit IgG |
| Clone No. | ADA-2 |
| Immunogen | A synthesized peptide derived from human Beclin 1 |
| Molecular Weight | 47 kDa |
| Purification | Affinity-chromatography |
| Conjugation | Unconjugated |
Storage & Handling
−| Storage | Maintain refrigerated at 2-8°C for up to 2 weeks. For long term storage store at -20°C in small aliquots to prevent freeze-thaw cycles. |
|---|---|
| Form/Appearance | Liquid |
| Concentration | 0.5mg/ml |
| Disclaimer | For research use only |
Alternative Names
−Similar Products
−Beclin 1 Mouse Monoclonal Antibody [orb499660]
IF, IHC-Fr, IHC-P
Mouse, Rat
Human, Mouse, Rat
Mouse
Monoclonal
Unconjugated
200 μl, 100 μl, 50 μl, 200 μgBeclin 1 Recombinant Rabbit Monoclonal Antibody [orb2563484]
IF, IHC-Fr, IHC-P, WB
Mouse, Rat
Human, Mouse, Rat
Rabbit
Recombinant
Unconjugated
25 μl, 200 μg, 50 μl, 200 μl, 100 μlBECN1 Monoclonal Antibody [orb688746]
ELISA, IHC, WB
Human, Mouse, Rat
Mouse
Monoclonal
Unconjugated
50 μg, 100 μgBECN1 Monoclonal Antibody [orb688752]
ELISA, IHC
Human, Mouse, Rat
Mouse
Monoclonal
Unconjugated
50 μg, 100 μg

Quality Guarantee
Explore bioreagents carefree to elevate your research. All our products are rigorously tested for performance. If a product does not perform as described on its datasheet, our scientific support team will provide expert troubleshooting, a prompt replacement, or a refund. For full details, please see our Terms & Conditions and Buying Guide. Contact us at [email protected].


WB analysis of Beclin 1 expression in (1) HEK293 Cell; (2) NIH/3T3 Cell; (3) C6 Cell.

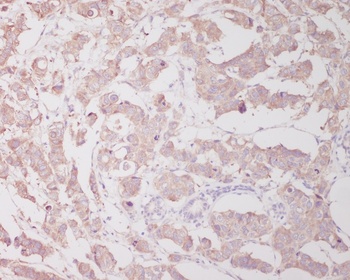
Immunohistochemical analysis of paraffin-embedded human breast cancer, using Beclin 1 Antibody.
Quick Database Links
UniProt Details
−Documents Download
Request a Document
Protocol Information
Beclin 1 BECN1 Monoclonal Antibody (orb547244)
Participating in our Biorbyt product reviews program enables you to support fellow scientists by sharing your firsthand experience with our products.
Login to Submit a Review








































