You have no items in your shopping cart.
Atg7 (Apg7) Monoclonal Antibody
Description
Images & Validation
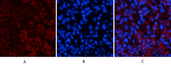
−| Tested Applications | ICC, IF, WB |
|---|---|
| Reactivity | Human, Mouse, Rat |
| Application Notes |
Key Properties
−| Antibody Type | Primary Antibody |
|---|---|
| Host | Rabbit |
| Clonality | Monoclonal |
| Isotype | Rabbit IgG |
| Clone No. | ACHA-1 |
| Immunogen | A synthesized peptide derived from human Atg7 (Apg7) Formation of the autophagosome involves a ubiquitin-like conjugation system in which Atg12 is covalently bound to Atg5 and targeted to autophagosome vesicles. This conjugation reaction is mediated by the ubiquitin E1-like enzyme Atg7 and the E2-like enzyme Atg10. |
| Molecular Weight | 35 kDa |
| Purification | Affinity-chromatography |
Storage & Handling
−| Storage | Maintain refrigerated at 2-8°C for up to 2 weeks. For long term storage store at -20°C in small aliquots to prevent freeze-thaw cycles. |
|---|---|
| Form/Appearance | Liquid |
| Concentration | 0.5mg/ml |
| Disclaimer | For research use only |
Alternative Names
−Similar Products
−ATG7 mouse Monoclonal Antibody(3D6) [orb1415489]
IF, IHC-P
Human, Mouse, Rat
Mouse
Monoclonal
Unconjugated
100 μlATG7 Recombinant Rabbit Monoclonal Antibody [orb2562903]
FC, ICC, IF, IHC-Fr, IHC-P, IP, WB
Human
Human
Rabbit
Recombinant
Unconjugated
25 μl, 50 μl, 100 μlATG7/Apg7 Rabbit Monoclonal Antibody [orb547261]
FC, ICC, IF, IHC, IP, WB
Human
Rabbit
Monoclonal
Unconjugated
100 μlRad50 Monoclonal Antibody [orb547263]
ICC, IF, WB
Human, Mouse, Rat
Rabbit
Monoclonal
Unconjugated

Quality Guarantee
Explore bioreagents carefree to elevate your research. All our products are rigorously tested for performance. If a product does not perform as described on its datasheet, our scientific support team will provide expert troubleshooting, a prompt replacement, or a refund. For full details, please see our Terms & Conditions and Buying Guide. Contact us at [email protected].

WB analysis of ATG7 using anti-ATG7 antibody in (1) HepG2 Cell; (2) Mouse spleen lysate; (3) Rat kidney lysate.
Quick Database Links
UniProt Details
−Documents Download
Request a Document
Protocol Information
Atg7 (Apg7) Monoclonal Antibody (orb547262)
Participating in our Biorbyt product reviews program enables you to support fellow scientists by sharing your firsthand experience with our products.
Login to Submit a Review





