You have no items in your shopping cart.
Description
Images & Validation
−| Tested Applications | IHC, WB |
|---|---|
| Dilution range | WB (1/500 - 1/1000), IH (1/50 - 1/200) |
| Reactivity | Human |
Key Properties
−| Antibody Type | Primary Antibody |
|---|---|
| Host | Rabbit |
| Clonality | Polyclonal |
| Immunogen | KLH-conjugated synthetic peptide encompassing a sequence within the N-terminal region of human APCDD1. The exact sequence is proprietary. |
| Purification | The antibody was purified by immunogen affinity chromatography. |
| Conjugation | Unconjugated |
Storage & Handling
−| Storage | Maintain refrigerated at 2-8°C for up to 2 weeks. For long term storage store at -20°C in small aliquots to prevent freeze-thaw cycles. |
|---|---|
| Form/Appearance | Liquid in 0.42% Potassium phosphate, 0.87% Sodium chloride, pH 7.3, 30% glycerol, and 0.01% sodium azide. |
| Disclaimer | For research use only |
Alternative Names
−Similar Products
−APCDD1 Rabbit Polyclonal Antibody [orb10112]
IF, IHC-Fr, IHC-P, WB
Canine, Gallus, Mouse, Rabbit, Rat
Human
Rabbit
Polyclonal
Unconjugated
100 μl, 200 μl, 50 μlAPCDD1 Antibody (N-term) [orb1936734]
IHC-P, WB
Xenopus
Human, Mouse
Rabbit
Polyclonal
Unconjugated
100 μl, 50 μlAPCDD1 Rabbit Polyclonal Antibody [orb78336]
ELISA, IHC, WB
Mouse, Rat
Human
Rabbit
Polyclonal
Unconjugated
100 μg

Quality Guarantee
Explore bioreagents carefree to elevate your research. All our products are rigorously tested for performance. If a product does not perform as described on its datasheet, our scientific support team will provide expert troubleshooting, a prompt replacement, or a refund. For full details, please see our Terms & Conditions and Buying Guide. Contact us at [email protected].

Western blot analysis of APCDD1 expression in LNCap (A), HACAT (B) whole cell lysates. (Predicted band size: 58 kD; Observed band size: 62 kD)

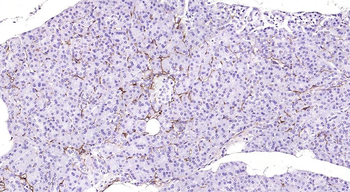
Immunohistochemical analysis of APCDD1 staining in human liver formalin fixed paraffin embedded tissue section. The section was pre-treated using heat mediated antigen retrieval with sodium citrate buffer (pH 6.0). The section was then incubated with the antibody at room temperature and detected using an HRP conjugated compact polymer system. DAB was used as the chromogen. The section was then counterstained with haematoxylin and mounted with DPX.
Documents Download
Request a Document
Protocol Information
APCDD1 Antibody (orb1880512)
Participating in our Biorbyt product reviews program enables you to support fellow scientists by sharing your firsthand experience with our products.
Login to Submit a Review









