You have no items in your shopping cart.
You have no items in your shopping cart.
| Catalog Number | orb1270269 |
|---|---|
| Category | Antibodies |
| Description | ANKRD5 Antibody |
| Target | ANKEF1 |
| Clonality | Polyclonal |
| Isotype | Rabbit Ig |
| Conjugation | Unconjugated |
| Reactivity | Mouse |
| Form/Appearance | Liquid |
| Concentration | batch dependent |
| Buffer/Preservatives | Supplied in PBS with 0.09% (W/V) sodium azide. |
| Purification | This antibody is purified through a protein A column, followed by peptide affinity purification. |
| Immunogen | This ANKRD5 antibody is generated from rabbits immunized with a KLH conjugated synthetic peptide between 721-749 amino acids from the C-terminal region of human ANKRD5. |
| UniProt ID | Q9NU02 |
| MW | 87 kDa |
| Tested applications | IHC-P, WB |
| Application notes | For WB starting dilution is: 1:1000For IHC-P starting dilution is: 1:10~50 |
| Antibody Type | Primary Antibody |
| Storage | Maintain refrigerated at 2-8°C for up to 2 weeks. For long term storage store at -20°C in small aliquots to prevent freeze-thaw cycles. |
| Alternative names | Ankyrin repeat and EF-hand domain-containing prote Read more... |
| Research Area | Neuroscience |
| Note | For research use only |
| NCBI | Q9NU02 |

Western blot analysis in mouse testis tissue lysates (35 ug/lane).

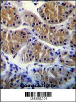
ANKRD5 Antibody immunohistochemistry analysis in formalin fixed and paraffin embedded human stomach tissue followed by peroxidase conjugation of the secondary antibody and DAB staining.
IF, IHC-Fr, IHC-P | |
Bovine, Human, Mouse, Porcine, Sheep | |
Rat | |
Rabbit | |
Polyclonal | |
Unconjugated |
ELISA, IHC, WB | |
Mouse, Rat | |
Human | |
Rabbit | |
Polyclonal | |
Unconjugated |
WB | |
Bovine, Canine, Equine, Guinea pig, Mouse, Rabbit, Rat | |
Human | |
Rabbit | |
Polyclonal | |
Unconjugated |
WB | |
Bovine, Canine, Equine, Mouse, Porcine, Rabbit, Rat | |
Human | |
Rabbit | |
Polyclonal | |
Unconjugated |
Participating in our Biorbyt product reviews program enables you to support fellow scientists by sharing your firsthand experience with our products.
Login to Submit a Review