You have no items in your shopping cart.
AKAP3 Antibody
Description
Research Area
Images & Validation
−| Tested Applications | ELISA, IHC, WB |
|---|---|
| Dilution Range | WB: 1:1000-1:10000; IHC: 1:20-200 |
| Reactivity | Human, Mouse, Rat |
Key Properties
−| Antibody Type | Primary Antibody |
|---|---|
| Host | Rabbit |
| Clonality | Polyclonal |
| Isotype | IgG |
| Immunogen | A kinase(PRKA) anchor protein 3 |
| Target | AKAP3 |
| Molecular Weight | 95 kDa |
| Purity | ≥95% as determined by SDS-PAGE |
| Purification | Immunogen affinity purified |
| Conjugation | Unconjugated |
Storage & Handling
−| Storage | Maintain refrigerated at 2-8°C for up to 2 weeks. For long term storage store at -20°C in small aliquots to prevent freeze-thaw cycles. |
|---|---|
| Form/Appearance | liquid |
| Expiration Date | 12 months from date of receipt. |
| Disclaimer | For research use only |
Alternative Names
−Similar Products
−AKAP3/SOB1 Antibody [orb18844]
ELISA, WB
Bovine, Canine, Mouse, Porcine, Rat
Human
Goat
Polyclonal
Unconjugated
100 μgAKAP3 Antibody [orb235002]
IF, WB
Human, Mouse, Rat
Rabbit
Polyclonal
Unconjugated
50 μl, 30 μl, 100 μl, 200 μl

Quality Guarantee
Explore bioreagents carefree to elevate your research. All our products are rigorously tested for performance. If a product does not perform as described on its datasheet, our scientific support team will provide expert troubleshooting, a prompt replacement, or a refund. For full details, please see our Terms & Conditions and Buying Guide. Contact us at [email protected].

mouse testis tissue were subjected to SDS PAGE followed by western blot with orb624588 (AKAP3 antibody) at dilution of 1:5000.

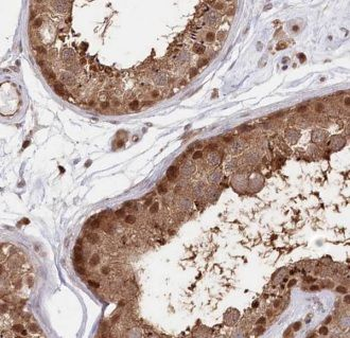
Immunohistochemistry of paraffin-embedded human testis using orb624588 (AKAP3 antibody) at dilution of 1:100.
Quick Database Links
UniProt Details
−Documents Download
Request a Document
Protocol Information
AKAP3 Antibody (orb624588)
Participating in our Biorbyt product reviews program enables you to support fellow scientists by sharing your firsthand experience with our products.
Login to Submit a Review





