You have no items in your shopping cart.
ABL2 Antibody
Description
Research Area
Images & Validation
−| Tested Applications | ELISA, IF, IHC, IP, WB |
|---|---|
| Dilution range | WB: 1:500-1:5000; IHC: 1:20-1:200; IF: 1:10-1:100; IP: 1:200-1:2000 |
| Reactivity | Human, Mouse, Rat |
Key Properties
−| Antibody Type | Primary Antibody |
|---|---|
| Host | Rabbit |
| Clonality | Polyclonal |
| Isotype | IgG |
| Immunogen | v-abl Abelson murine leukemia viral oncogene homolog 2(arg, Abelson-related gene) |
| Target | ABL2 |
| Molecular Weight | 127 kDa |
| Purity | ≥95% as determined by SDS-PAGE |
| Purification | Immunogen affinity purified |
| Conjugation | Unconjugated |
Storage & Handling
−| Storage | Maintain refrigerated at 2-8°C for up to 2 weeks. For long term storage store at -20°C in small aliquots to prevent freeze-thaw cycles. |
|---|---|
| Form/Appearance | liquid |
| Disclaimer | For research use only |
Alternative Names
−Similar Products
−Arg rabbit pAb Antibody [orb766963]
ELISA, IF, IHC, WB
Human, Mouse, Rat
Polyclonal
Unconjugated
100 μlAbl1/2 rabbit pAb Antibody [orb764451]
ELISA, IF, IHC, WB
Human, Mouse
Polyclonal
Unconjugated
100 μl, 50 μlPhospho-ABL1(Y393)/ABL2(439) Antibody [orb1931303]
DOT, IHC-P, WB
Mouse
Human
Rabbit
Polyclonal
Unconjugated
100 μl, 50 μl

Quality Guarantee
Explore bioreagents carefree to elevate your research. All our products are rigorously tested for performance. If a product does not perform as described on its datasheet, our scientific support team will provide expert troubleshooting, a prompt replacement, or a refund. For full details, please see our Terms & Conditions and Buying Guide. Contact us at [email protected].

IP Result of anti-ABL2 (IP: orb624416, 4 ug; Detection: orb624416 1:500) with HeLa cells lysate 1200 ug.

HeLa cells were subjected to SDS PAGE followed by western blot with orb624416 (ABL2 antibody) at dilution of 1:500.

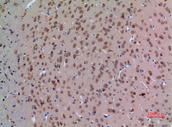
Immunohistochemistry of paraffin-embedded human liver cancer tissue slide using orb624416 (ABL2 Antibody) at dilution of 1:50.
Quick Database Links
UniProt Details
−Documents Download
Request a Document
Protocol Information
ABL2 Antibody (orb624416)
Participating in our Biorbyt product reviews program enables you to support fellow scientists by sharing your firsthand experience with our products.
Login to Submit a Review


















