You have no items in your shopping cart.
You have no items in your shopping cart.
| Catalog Number | orb1250543 |
|---|---|
| Category | Antibodies |
| Description | PAEL Receptor Antibody |
| Target | GPR37 |
| Clonality | Polyclonal |
| Conjugation | Unconjugated |
| Reactivity | Human, Primate |
| Form/Appearance | Liquid |
| Concentration | 1 mg/ml |
| Buffer/Preservatives | PBS, 0.1% sodium azide. |
| Purification | Immunoaffinity Chromatography |
| Immunogen | PAEL Receptor antibody was raised against a peptide located in the N-Terminal extracellular domain of PAEL Receptor (Human). |
| UniProt ID | O15354 |
| Tested applications | ELISA, IHC |
| Application notes | PAEL Receptor antibody can be used in ELISA, and immunohistochemistry starting at 10 μg/mL. |
| Antibody Type | Primary Antibody |
| Storage | Maintain refrigerated at 2-8°C for up to 2 weeks. For long term storage store at -20°C in small aliquots to prevent freeze-thaw cycles. |
| Alternative names | GPR37, EDNRBL, ETBR-LP-1, Gpcr/cns1, HET(B)R-LP, H Read more... |
| Note | For research use only |
| NCBI | O15354 |

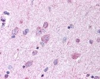
Immunohistochemistry staining of PAEL receptor in brain cortex tissue using PAEL receptor Antibody.
Participating in our Biorbyt product reviews program enables you to support fellow scientists by sharing your firsthand experience with our products.
Login to Submit a Review