You have no items in your shopping cart.
GPR37 Antibody
Description
Research Area
Images & Validation
−| Tested Applications | ELISA, IF, IHC, WB |
|---|---|
| Dilution Range | WB: 1: 1000-1: 5000, IHC-P: 1: 500-1: 1000, IF: 1: 200-1: 500 |
| Reactivity | Human |
Key Properties
−| Host | Rabbit |
|---|---|
| Clonality | Polyclonal |
| Isotype | IgG |
| Immunogen | Peptide sequence from Human Prosaposin receptor GPR37 protein (114-133AA) |
| Target | GPR37 |
| Purification | >95%, Protein G purified |
| Conjugation | Unconjugated |
Storage & Handling
−| Storage | Maintain refrigerated at 2-8°C for up to 2 weeks. For long term storage store at -20°C in small aliquots to prevent freeze-thaw cycles. |
|---|---|
| Form/Appearance | Liquid |
| Buffer/Preservatives | Preservative: 0.03% Proclin 300. Constituents: 50% Glycerol |
| Expiration Date | 12 months from date of receipt. |
| Disclaimer | For research use only |
Alternative Names
−Similar Products
−Human G Protein Coupled Receptor 37 (GPR37) ELISA Kit [orb776980]
Human
0.16-10 ng/mL
0.056 ng/mL
96 T, 48 TPael-R (GPR37) Antibody (N-term) [orb1930047]
IHC-P, WB
Human, Mouse
Rabbit
Polyclonal
Unconjugated
100 μl, 50 μlGPR37 rabbit pAb Antibody [orb768490]
ELISA, WB
Human, Mouse, Rat
Polyclonal
Unconjugated
100 μl, 50 μl

Quality Guarantee
Explore bioreagents carefree to elevate your research. All our products are rigorously tested for performance. If a product does not perform as described on its datasheet, our scientific support team will provide expert troubleshooting, a prompt replacement, or a refund. For full details, please see our Terms & Conditions and Buying Guide. Contact us at [email protected].

Immunofluorescence analysis of PC-3 cells using GPR37 antibody

Western blot analysis of 293 whole cell lysate, PC-3 whole cell lysate, MCF-7 whole cell lysate using GPR37 antibody

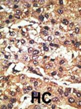
Immunohistochemical staining of human liver tissue using GPR37 antibody
Quick Database Links
UniProt Details
−Documents Download
Request a Document
Protocol Information
GPR37 Antibody (orb687084)
Participating in our Biorbyt product reviews program enables you to support fellow scientists by sharing your firsthand experience with our products.
Login to Submit a Review










