You have no items in your shopping cart.
NRIP2 Antibody
Description
Research Area
Images & Validation
−| Tested Applications | ELISA, IHC, WB |
|---|---|
| Dilution Range | WB:1:200-3000, IHC-P:1:20-200 |
| Reactivity | Human, Rat |
Key Properties
−| Host | Rabbit |
|---|---|
| Clonality | Polyclonal |
| Isotype | IgG |
| Immunogen | Recombinant Human Nuclear receptor-interacting protein 2 protein (1-281AA) |
| Target | NRIP2 |
| Purification | >95%, Protein G purified |
| Conjugation | Unconjugated |
Storage & Handling
−| Storage | Maintain refrigerated at 2-8°C for up to 2 weeks. For long term storage store at -20°C in small aliquots to prevent freeze-thaw cycles. |
|---|---|
| Form/Appearance | Liquid |
| Buffer/Preservatives | Preservative: 0.03% Proclin 300. Constituents: 50% Glycerol |
| Expiration Date | 12 months from date of receipt. |
| Disclaimer | For research use only |
Alternative Names
−Similar Products
−NRIP2 rabbit pAb Antibody [orb770579]
ELISA, IF, IHC
Human, Mouse
Polyclonal
Unconjugated
50 μl, 100 μlNRIP2 Antibody [orb256731]
IHC, WB
Human, Mouse, Rat
Rabbit
Polyclonal
Unconjugated
50 μl, 100 μl, 30 μl, 200 μlNRIP2 Rabbit Polyclonal Antibody [orb581183]
WB
Bovine, Canine, Equine, Mouse, Porcine, Rabbit, Rat, Zebrafish
Human
Rabbit
Polyclonal
Unconjugated
100 μl

Quality Guarantee
Explore bioreagents carefree to elevate your research. All our products are rigorously tested for performance. If a product does not perform as described on its datasheet, our scientific support team will provide expert troubleshooting, a prompt replacement, or a refund. For full details, please see our Terms & Conditions and Buying Guide. Contact us at [email protected].

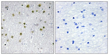
Immunohistochemical staining of human colon cancer using NRIP2 antibody
Quick Database Links
UniProt Details
−Documents Download
Request a Document
Protocol Information
NRIP2 Antibody (orb37715)
Participating in our Biorbyt product reviews program enables you to support fellow scientists by sharing your firsthand experience with our products.
Login to Submit a Review





